NPR-C抗体 [11B5]

目录号 GTX84015
目录号  GTX84015
Anti-NPR-C antibody [11B5] used in Flow cytometry (FCM). GTX84015
GTX84015 FCM Image

FACS analysis of HEK293T cells transfected with either NPR-C plasmid(Red) or empty vector control plasmid(Blue) using GTX84015 NPR-C antibody [11B5].

1 / 5
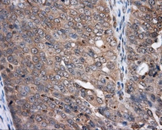
Anti-NPR-C antibody [11B5] used in IHC (Paraffin sections) (IHC-P). GTX84015
GTX84015 IHC-P Image

IHC-P analysis of human ovary adenocarcinoma tissue using GTX84015 NPR-C antibody [11B5].
Antigen retrieval : Heat-induced epitope retrieval by 10mM citrate buffer, pH6.0, 100ºC for 10min.
Dilution : 1:50

2 / 5
Anti-NPR-C antibody [11B5] used in Immunocytochemistry/ Immunofluorescence (ICC/IF). GTX84015
GTX84015 ICC/IF Image

ICC/IF analysis of COS7 cells transiently transfected with NPR-C plasmid using GTX84015 NPR-C antibody [11B5].

3 / 5
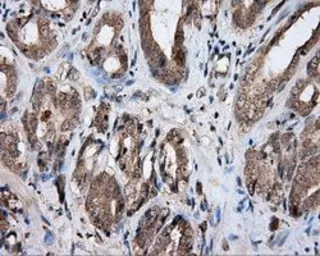
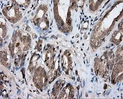
Anti-NPR-C antibody [11B5] used in IHC (Paraffin sections) (IHC-P). GTX84015
GTX84015 IHC-P Image

IHC-P analysis of prostate carcinoma tissue using GTX84015 NPR-C antibody [11B5].
Antigen retrieval : Heat-induced epitope retrieval by 10mM citrate buffer, pH6.0, 100ºC for 10min.
Dilution : 1:50

4 / 5
Anti-NPR-C antibody [11B5] used in Western Blot (WB). GTX84015
GTX84015 WB Image

WB analysis of HEK293T cells transfected with NPR-C plasmid (Right) or empty vector (Left) for 48 hrs using GTX84015 NPR-C antibody [11B5].
Loading : 5 ug per lane

5 / 5
Anti-NPR-C antibody [11B5] used in Flow cytometry (FCM). GTX84015
Anti-NPR-C antibody [11B5] used in IHC (Paraffin sections) (IHC-P). GTX84015
Anti-NPR-C antibody [11B5] used in Immunocytochemistry/ Immunofluorescence (ICC/IF). GTX84015
Anti-NPR-C antibody [11B5] used in IHC (Paraffin sections) (IHC-P). GTX84015
Anti-NPR-C antibody [11B5] used in Western Blot (WB). GTX84015
  • 宿主
    Mouse
  • 克隆
    Monoclonal
  • 克隆编号
    11B5
  • 同种型
    IgG2b
  • 实验应用
    WB ICC/IF IHC-P FCM
  • 种属反应
    Human
查看所有 NPR-C 的产品