Nucleolin抗体 [MSVA-623R] HistoMAX™

目录号 GTX04456
目录号  GTX04456
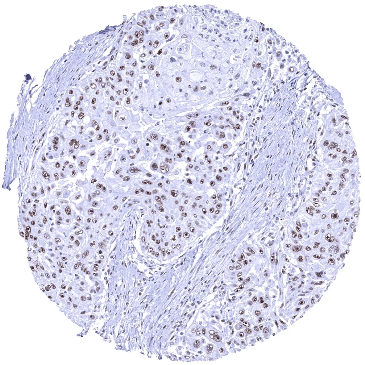
Anti-Nucleolin antibody [MSVA-623R] HistoMAX™ used in IHC (Paraffin sections) (IHC-P). GTX04456
GTX04456 IHC-P Image

IHC-P analysis of human esophageal squamous cell carcinoma (ESCC) tissue using GTX04456 Nucleolin antibody [MSVA-623R] HistoMAX™.
Distinct nucleolin immunostaining in the nucleoli of an esophageal squamous cell carcinoma.

1 / 3
Anti-Nucleolin antibody [MSVA-623R] HistoMAX™ used in IHC (Paraffin sections) (IHC-P). GTX04456
GTX04456 IHC-P Image

IHC-P analysis of human fallopian tube mucosa tissue using GTX04456 Nucleolin antibody [MSVA-623R] HistoMAX™.
The entire nuclei of epithelial cells are nucleolin positive but the immunostaining is most distinct in the nucleolus.

2 / 3
Anti-Nucleolin antibody [MSVA-623R] HistoMAX™ used in IHC (Paraffin sections) (IHC-P). GTX04456
GTX04456 IHC-P Image

IHC-P analysis of human endometrium tissue using GTX04456 Nucleolin antibody [MSVA-623R] HistoMAX™.
In this sample of endometrium nucleolin staining is particularly prominent in the nucleoli of epithelial and stromal cells.

3 / 3
Anti-Nucleolin antibody [MSVA-623R] HistoMAX™ used in IHC (Paraffin sections) (IHC-P). GTX04456
Anti-Nucleolin antibody [MSVA-623R] HistoMAX™ used in IHC (Paraffin sections) (IHC-P). GTX04456
Anti-Nucleolin antibody [MSVA-623R] HistoMAX™ used in IHC (Paraffin sections) (IHC-P). GTX04456
  • 宿主
    Rabbit
  • 克隆
    Monoclonal
  • 克隆编号
    MSVA-623R
  • 同种型
    IgG
  • 实验应用
    IHC-P
  • 种属反应
    Human
摘要
This antibody was validated on 76 different Normal Tissues by IHC-P.

Go to Normal Tissue GalleryGo to Cancer Tissue Gallery

查看所有 Nucleolin 的产品