PAI-1抗体 [1D5]

目录号 GTX60537
目录号  GTX60537
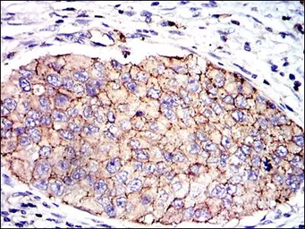
Anti-PAI-1 antibody [1D5] used in IHC (Paraffin sections) (IHC-P). GTX60537
GTX60537 IHC-P Image

IHC-P analysis of kidney cancer tissue using GTX60537 PAI-1 antibody [1D5].

1 / 6
Anti-PAI-1 antibody [1D5] used in Flow cytometry (FCM). GTX60537
GTX60537 FCM Image

FACS analysis of NIH3T3 cells using GTX60537 PAI-1 antibody [1D5].
Green : PAI-1
Red : negative control

2 / 6
Anti-PAI-1 antibody [1D5] used in Western Blot (WB). GTX60537
GTX60537 WB Image

WB analysis of HEK293 (1) and PAI-1 (AA: 194-316)-hIgGFc transfected HEK293 (2) cell lysate using GTX60537 PAI-1 antibody [1D5].

3 / 6
Anti-PAI-1 antibody [1D5] used in ELISA (ELISA). GTX60537
GTX60537 ELISA Image

ELISA analysis of antigen using GTX60537 PAI-1 antibody [1D5].
Black : Control antigen 100ng
Purple : Antigen 10ng
Blue : Antigen 50ng
Red : Antigen 100ng

4 / 6
Anti-PAI-1 antibody [1D5] used in IHC (Paraffin sections) (IHC-P). GTX60537
GTX60537 IHC-P Image

IHC-P analysis of lung cancer tissue using GTX60537 PAI-1 antibody [1D5].

5 / 6
Anti-PAI-1 antibody [1D5] used in Western Blot (WB). GTX60537
GTX60537 WB Image

WB analysis of human PAI-1 (AA: 194-316) recombinant protein using GTX60537 PAI-1 antibody [1D5].

6 / 6
Anti-PAI-1 antibody [1D5] used in IHC (Paraffin sections) (IHC-P). GTX60537
Anti-PAI-1 antibody [1D5] used in Flow cytometry (FCM). GTX60537
Anti-PAI-1 antibody [1D5] used in Western Blot (WB). GTX60537
Anti-PAI-1 antibody [1D5] used in ELISA (ELISA). GTX60537
Anti-PAI-1 antibody [1D5] used in IHC (Paraffin sections) (IHC-P). GTX60537
Anti-PAI-1 antibody [1D5] used in Western Blot (WB). GTX60537
  • 宿主
    Mouse
  • 克隆
    Monoclonal
  • 克隆编号
    1D5
  • 同种型
    IgG1
  • 实验应用
    WB IHC-P FCM ELISA
  • 种属反应
    Human, Mouse
查看所有 PAI-1 的产品