PD-L1抗体 [HL1041]

目录号 GTX635975
目录号  GTX635975
Anti-PD-L1 antibody [HL1041] used in Western Blot (WB). GTX635975
GTX635975 WB Image

Wild-type (WT) and PDL1 knockout (KO) MDA-MB-231 cell extracts (30 μg) were separated by 10% SDS-PAGE, and the membrane was blotted with PD-L1 antibody [HL1041] (GTX635975) diluted at 1:2000. The HRP-conjugated anti-rabbit IgG antibody (GTX213110-01) was used to detect the primary antibody.

1 / 14
Anti-PD-L1 antibody [HL1041] used in IHC (Paraffin sections) (IHC-P). GTX635975
GTX635975 IHC-P Image

PD-L1 antibody [HL1041] detects PD-L1 protein at cell membrane by immunohistochemical analysis.
Sample: Human Placenta.
Green: PD-L1 stained by Dylight594-conjugated PD-L1 antibody [HL1041] (GTX635975) diluted at 1:1000.

2 / 14
Anti-PD-L1 antibody [HL1041] used in Western Blot (WB). GTX635975
GTX635975 WB Image

Various whole cell extracts (30 μg) were separated by 10% SDS-PAGE, and the membranes were blotted with PD-L1 antibody [HL1041] (GTX635975) diluted at 1:2000 and competitor's antibody diluted at 1:200. The HRP-conjugated anti-rabbit IgG antibody (GTX213110-01) was used to detect the primary antibody.

*The competitor is not affiliated with GeneTex and does not endorse this product.

3 / 14
Anti-PD-L1 antibody [HL1041] used in IHC (Paraffin sections) (IHC-P). GTX635975
GTX635975 IHC-P Image

PD-L1 antibody [HL1041] detects PD-L1 protein at cell membrane by immunohistochemical analysis.
Sample: Paraffin-embedded human placenta.
PD-L1 stained by PD-L1 antibody [HL1041] (GTX635975) diluted at 1:1000 and competitor's antibody diluted at 1:1000.
Blue: Fluoroshield with DAPI (GTX30920).
Antigen Retrieval: Citrate buffer, pH 6.0, 15 min

*Competitor's antibody is not affiliated with GeneTex and does not endorse this product.

*The competitor is not affiliated with GeneTex and does not endorse this product.

4 / 14
Anti-PD-L1 antibody [HL1041] used in Flow cytometry (FCM). GTX635975
GTX635975 FCM Image

PD-L1 antibody [HL1041] (GTX635975) detects PD-L1 protein by intracellular flow cytometry analysis.
Sample: MDA-MB-231 or A549 cells were fixed in 4% paraformaldehyde at 4ºC for 15 min and washed with permeabilization buffer. The cells were following stained with 5μg/ml GTX635975 (red) or a Rabbit monoclonal IgG isotype control (gray) at 4ºC for 1 hour.

5 / 14
Anti-PD-L1 antibody [HL1041] used in Western Blot (WB). GTX635975
GTX635975 WB Image

Various whole cell extracts (30 μg) were separated by 10% SDS-PAGE, and the membrane was blotted with PD-L1 antibody [HL1041] (GTX635975) diluted at 1:2000. The HRP-conjugated anti-rabbit IgG antibody (GTX213110-01) was used to detect the primary antibody. Corresponding RNA expression data for the same cell lines are based on Human Protein Atlas program.

6 / 14
Anti-PD-L1 antibody [HL1041] used in IHC (Paraffin sections) (IHC-P). GTX635975
GTX635975 IHC-P Image

PD-L1 antibody [HL1041] detects PD-L1 protein at cell membrane by immunohistochemical analysis.
Sample: Paraffin-embedded A549 (left) and MDA-MB-231 xenograft (right).
PD-L1 stained by PD-L1 antibody [HL1041] (GTX635975) diluted at 1:100.
Antigen Retrieval: Citrate buffer, pH 6.0, 15 min

7 / 14
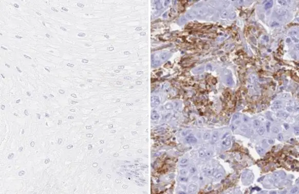
Anti-PD-L1 antibody [HL1041] used in IHC (Paraffin sections) (IHC-P). GTX635975
GTX635975 IHC-P Image

PD-L1 antibody [HL1041] detects PD-L1 protein at cell membrane by immunohistochemical analysis.
Sample: Paraffin-embedded human esophagus (left) and esophageal adenocarcinoma (right).
PD-L1 stained by PD-L1 antibody [HL1041] (GTX635975) diluted at 1:100.
Antigen Retrieval: Citrate buffer, pH 6.0, 15 min

8 / 14
Anti-PD-L1 antibody [HL1041] used in IHC (Paraffin sections) (IHC-P). GTX635975
GTX635975 IHC-P Image

PD-L1 antibody [HL1041] detects PD-L1 protein at cell membrane by immunohistochemical analysis.
Sample: Paraffin-embedded human ovary.
PD-L1 stained by PD-L1 antibody [HL1041] (GTX635975) diluted at 1:100.
Antigen Retrieval: Citrate buffer, pH 6.0, 15 min

9 / 14
Anti-PD-L1 antibody [HL1041] used in IHC (Paraffin sections) (IHC-P). GTX635975
GTX635975 IHC-P Image

PD-L1 antibody [HL1041] detects PD-L1 protein at cell membrane by immunohistochemical analysis.
Sample: Paraffin-embedded human placenta.
PD-L1 stained by PD-L1 antibody [HL1041] (GTX635975) diluted at 1:100.
Antigen Retrieval: Citrate buffer, pH 6.0, 15 min

10 / 14
Anti-PD-L1 antibody [HL1041] used in IHC (Paraffin sections) (IHC-P). GTX635975
GTX635975 IHC-P Image

PD-L1 antibody [HL1041] detects PD-L1 protein at cell membrane by immunohistochemical analysis.
Sample: Paraffin-embedded human thymus gland.
PD-L1 stained by PD-L1 antibody [HL1041] (GTX635975) diluted at 1:100.
Antigen Retrieval: Citrate buffer, pH 6.0, 15 min

11 / 14
Anti-PD-L1 antibody [HL1041] used in IHC (Paraffin sections) (IHC-P). GTX635975
GTX635975 IHC-P Image

PD-L1 antibody [HL1041] detects PD-L1 protein at cell membrane by immunohistochemical analysis.
Sample: Paraffin-embedded human lymph node.
PD-L1 stained by PD-L1 antibody [HL1041] (GTX635975) diluted at 1:100.
Antigen Retrieval: Citrate buffer, pH 6.0, 15 min

12 / 14
Anti-PD-L1 antibody [HL1041] used in Western Blot (WB). GTX635975
GTX635975 WB Image

Various whole cell extracts were separated by 10% SDS-PAGE, and the membrane was blotted with PD-L1 antibody [HL1041] (GTX635975) diluted at 1:2000. The HRP-conjugated anti-rabbit IgG antibody (GTX213110-01) was used to detect the primary antibody.

13 / 14
Anti-PD-L1 antibody [HL1041] used in Immunocytochemistry/ Immunofluorescence (ICC/IF). GTX635975
GTX635975 ICC/IF Image

PD-L1 antibody [HL1041] detects PD-L1 protein by immunofluorescent analysis.
Sample: MDA-MB-231 cells were fixed in ice-cold MeOH for 10 min.
Green: PD-L1 stained by PD-L1 antibody [HL1041] (GTX635975) diluted at 1:200.
Red: alpha Tubulin, a cytoskeleton marker, stained by alpha Tubulin antibody [GT114] (GTX628802) diluted at 1:1000.
Blue: Fluoroshield with DAPI (GTX30920).

14 / 14
Anti-PD-L1 antibody [HL1041] used in Western Blot (WB). GTX635975
Anti-PD-L1 antibody [HL1041] used in IHC (Paraffin sections) (IHC-P). GTX635975
Anti-PD-L1 antibody [HL1041] used in Western Blot (WB). GTX635975
Anti-PD-L1 antibody [HL1041] used in IHC (Paraffin sections) (IHC-P). GTX635975
Anti-PD-L1 antibody [HL1041] used in Flow cytometry (FCM). GTX635975
Anti-PD-L1 antibody [HL1041] used in Western Blot (WB). GTX635975
Anti-PD-L1 antibody [HL1041] used in IHC (Paraffin sections) (IHC-P). GTX635975
Anti-PD-L1 antibody [HL1041] used in IHC (Paraffin sections) (IHC-P). GTX635975
Anti-PD-L1 antibody [HL1041] used in IHC (Paraffin sections) (IHC-P). GTX635975
Anti-PD-L1 antibody [HL1041] used in IHC (Paraffin sections) (IHC-P). GTX635975
Anti-PD-L1 antibody [HL1041] used in IHC (Paraffin sections) (IHC-P). GTX635975
Anti-PD-L1 antibody [HL1041] used in IHC (Paraffin sections) (IHC-P). GTX635975
Anti-PD-L1 antibody [HL1041] used in Western Blot (WB). GTX635975
Anti-PD-L1 antibody [HL1041] used in Immunocytochemistry/ Immunofluorescence (ICC/IF). GTX635975
  • 宿主
    Rabbit
  • 克隆
    Monoclonal
  • 克隆编号
    HL1041
  • 同种型
    IgG
  • 实验应用
    WB ICC/IF IHC-P FCM
  • 种属反应
    Human
查看所有 PD-L1 的产品