PD1抗体

目录号 GTX128435
目录号  GTX128435
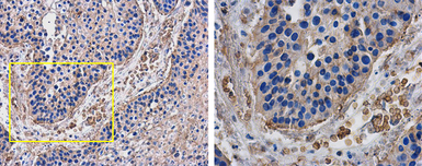
Anti-PD1 antibody used in IHC (Paraffin sections) (IHC-P). GTX128435
GTX128435 IHC-P Image

PD1 antibody detects PD1 protein at cell membrane of inflammatory cells in human lung cancer by immunohistochemical analysis.
Sample: Paraffin-embedded human lung cancer.
PD1 antibody (GTX128435) diluted at 1:500.

Antigen Retrieval: Citrate buffer, pH 6.0, 15 min

1 / 4
Anti-PD1 antibody used in Western Blot (WB). GTX128435
GTX128435 WB Image

Non-transfected (–) and transfected (+) 293T whole cell extracts (30 μg) were separated by 12% SDS-PAGE, and the membrane was blotted with PD1 antibody (GTX128435) diluted at 1:5000. The HRP-conjugated anti-rabbit IgG antibody (GTX213110-01) was used to detect the primary antibody.

2 / 4
Anti-PD1 antibody used in IHC (Paraffin sections) (IHC-P). GTX128435
GTX128435 IHC-P Image

PD1 antibody detects PD1 protein at cell membrane by immunohistochemical analysis.
Sample: Paraffin-embedded mouse thymus gland.
PD1 stained by PD1 antibody (GTX128435) diluted at 1:500.
Antigen Retrieval: Citrate buffer, pH 6.0, 15 min

3 / 4
Anti-PD1 antibody used in IHC (Paraffin sections) (IHC-P). GTX128435
GTX128435 IHC-P Image

PD1 antibody detects PD1 protein at cell membrane by immunohistochemical analysis.
Sample: Paraffin-embedded mouse lymph node.
PD1 stained by PD1 antibody (GTX128435) diluted at 1:500.
Antigen Retrieval: Citrate buffer, pH 6.0, 15 min

4 / 4
Anti-PD1 antibody used in IHC (Paraffin sections) (IHC-P). GTX128435
Anti-PD1 antibody used in Western Blot (WB). GTX128435
Anti-PD1 antibody used in IHC (Paraffin sections) (IHC-P). GTX128435
Anti-PD1 antibody used in IHC (Paraffin sections) (IHC-P). GTX128435
  • 宿主
    Rabbit
  • 克隆
    Polyclonal
  • 同种型
    IgG
  • 实验应用
    WB IHC-P
  • 种属反应
    Human, Mouse
查看所有 PD1 的产品