PDGF Receptor alpha抗体 [7A3]

目录号 GTX34117
目录号  GTX34117
Anti-PDGF Receptor alpha antibody [7A3] used in IHC (Paraffin sections) (IHC-P). GTX34117
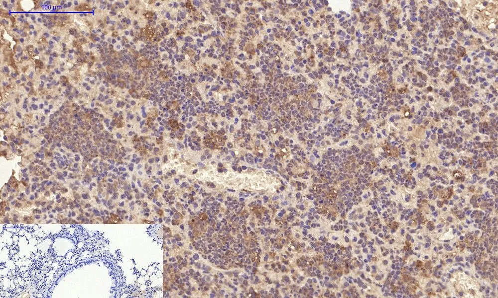
GTX34117 IHC-P Image

IHC-P analysis of mouse lung tissue using GTX34117 PDGF Receptor alpha antibody [7A3]. Negative control (the lower left coner) was secondary antibody only.
Antigen retrieval : Sodium citrate pH6.0 was used for antibody retrieval (>98ºC, 20min)
Dilution : 1:200

1 / 4
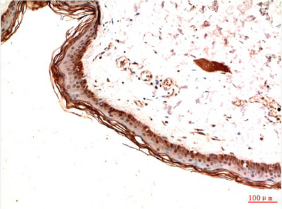
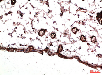
Anti-PDGF Receptor alpha antibody [7A3] used in IHC (Paraffin sections) (IHC-P). GTX34117
GTX34117 IHC-P Image

IHC-P analysis of human skin tissue using GTX34117 PDGF Receptor alpha antibody [7A3].
Dilution : 1:200

2 / 4
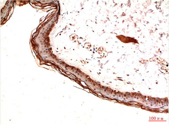
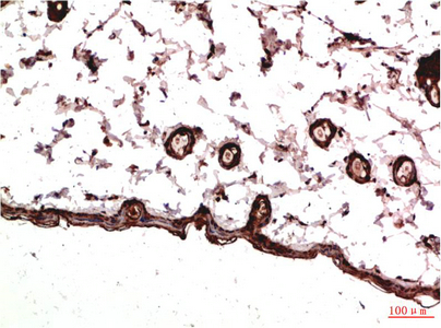
Anti-PDGF Receptor alpha antibody [7A3] used in IHC (Paraffin sections) (IHC-P). GTX34117
GTX34117 IHC-P Image

IHC-P analysis of rat skin tissue using GTX34117 PDGF Receptor alpha antibody [7A3].
Dilution : 1:200

3 / 4
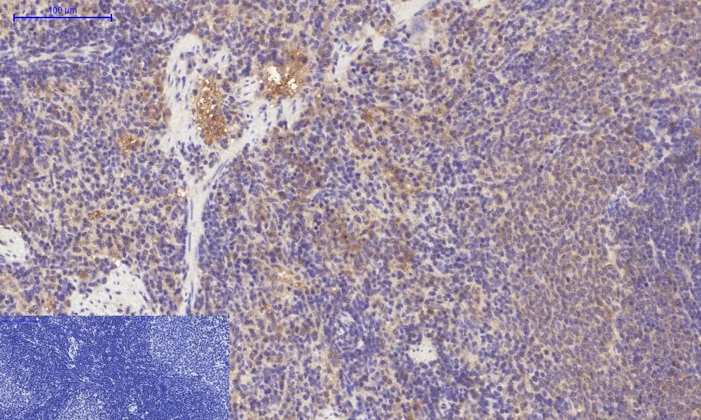
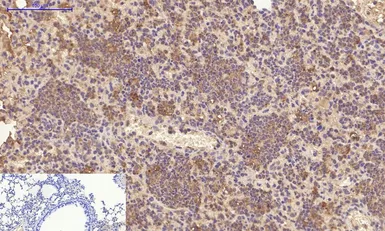
Anti-PDGF Receptor alpha antibody [7A3] used in IHC (Paraffin sections) (IHC-P). GTX34117
GTX34117 IHC-P Image

IHC-P analysis of rat spleen tissue using GTX34117 PDGF Receptor alpha antibody [7A3]. Negative control (the lower left coner) was secondary antibody only.
Antigen retrieval : Sodium citrate pH6.0 was used for antibody retrieval (>98ºC, 20min)
Dilution : 1:200

4 / 4
Anti-PDGF Receptor alpha antibody [7A3] used in IHC (Paraffin sections) (IHC-P). GTX34117
Anti-PDGF Receptor alpha antibody [7A3] used in IHC (Paraffin sections) (IHC-P). GTX34117
Anti-PDGF Receptor alpha antibody [7A3] used in IHC (Paraffin sections) (IHC-P). GTX34117
Anti-PDGF Receptor alpha antibody [7A3] used in IHC (Paraffin sections) (IHC-P). GTX34117
  • 宿主
    Mouse
  • 克隆
    Monoclonal
  • 克隆编号
    7A3
  • 同种型
    IgG1
  • 实验应用
    IHC-P
  • 种属反应
    Human, Mouse, Rat
查看所有 PDGF Receptor alpha 的产品