PDK3抗体 [N1C2]

目录号 GTX104286
目录号  GTX104286
Anti-PDK3 antibody [N1C2] used in Western Blot (WB). GTX104286
GTX104286 WB Image

Mouse tissue extract (50 μg) was separated by 10% SDS-PAGE, and the membrane was blotted with PDK3 antibody [N1C2] (GTX104286) diluted at 1:500. The HRP-conjugated anti-rabbit IgG antibody (GTX213110-01) was used to detect the primary antibody.

1 / 5
Anti-PDK3 antibody [N1C2] used in Western Blot (WB). GTX104286
GTX104286 WB Image

Whole cell extract (30 μg) was separated by 10% SDS-PAGE, and the membrane was blotted with PDK3 antibody [N1C2] (GTX104286) diluted at 1:1000.

2 / 5
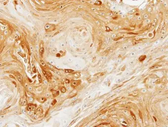
Anti-PDK3 antibody [N1C2] used in IHC (Paraffin sections) (IHC-P). GTX104286
GTX104286 IHC-P Image

Immunohistochemical analysis of paraffin-embedded Ca922 xenograft, using PDK3(GTX104286) antibody at 1:100 dilution.
Antigen Retrieval: Trilogy™ (EDTA based, pH 8.0) buffer, 15min

3 / 5
Anti-PDK3 antibody [N1C2] used in Immunocytochemistry/ Immunofluorescence (ICC/IF). GTX104286
GTX104286 ICC/IF Image

Immunofluorescence analysis of methanol-fixed HepG2, using PDK3(GTX104286) antibody at 1:200 dilution.

4 / 5
Anti-PDK3 antibody [N1C2] used in Western Blot (WB). GTX104286
GTX104286 WB Image

Non-transfected (–) and transfected (+) 293T whole cell extracts (30 μg) were separated by 10% SDS-PAGE, and the membrane was blotted with PDK3 antibody [N1C2] (GTX104286) diluted at 1:1000. The HRP-conjugated anti-rabbit IgG antibody (GTX213110-01) was used to detect the primary antibody.

5 / 5
Anti-PDK3 antibody [N1C2] used in Western Blot (WB). GTX104286
Anti-PDK3 antibody [N1C2] used in Western Blot (WB). GTX104286
Anti-PDK3 antibody [N1C2] used in IHC (Paraffin sections) (IHC-P). GTX104286
Anti-PDK3 antibody [N1C2] used in Immunocytochemistry/ Immunofluorescence (ICC/IF). GTX104286
Anti-PDK3 antibody [N1C2] used in Western Blot (WB). GTX104286
  • 宿主
    Rabbit
  • 克隆
    Polyclonal
  • 同种型
    IgG
  • 实验应用
    WB ICC/IF IHC-P
  • 种属反应
    Human, Mouse, Frog, Squirrel
查看所有 PDK3 的产品