PHF3抗体

目录号 GTX87923
目录号  GTX87923
Anti-PHF3 antibody used in Western Blot (WB). GTX87923
GTX87923 WB Image

WB analysis of HeLa cell lysate using GTX87923 PHF3 antibody.

1 / 2
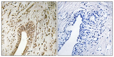
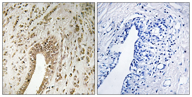
Anti-PHF3 antibody used in IHC (Paraffin sections) (IHC-P). GTX87923
GTX87923 IHC-P Image

IHC-P analysis of human breast carcinoma tissue using GTX87923 PHF3 antibody. The picture on the right is blocked with the synthesized peptide.

2 / 2
Anti-PHF3 antibody used in Western Blot (WB). GTX87923
Anti-PHF3 antibody used in IHC (Paraffin sections) (IHC-P). GTX87923
  • 宿主
    Rabbit
  • 克隆
    Polyclonal
  • 同种型
    IgG
  • 实验应用
    WB IHC-P
  • 种属反应
    Human
查看所有 PHF3 的产品