PPAR alpha抗体

目录号 GTX101098
目录号  GTX101098
Anti-PPAR alpha antibody used in Western Blot (WB). GTX101098
GTX101098 WB Image

Non-transfected (–) and transfected (+) unboiled HepG2 whole cell extracts (30 μg) were separated by 10% SDS-PAGE, and the membrane was blotted with PPAR alpha antibody (GTX101098) diluted at 1:1000. The HRP-conjugated anti-rabbit IgG antibody (GTX213110-01) was used to detect the primary antibody.

1 / 9
Anti-PPAR alpha antibody used in Western Blot (WB). GTX101098
GTX101098 WB Image

Mouse tissue extract (50 μg) was separated by 10% SDS-PAGE, and the membrane was blotted with PPAR alpha antibody (GTX101098) diluted at 1:1000. The HRP-conjugated anti-rabbit IgG antibody (GTX213110-01) was used to detect the primary antibody.

2 / 9
Anti-PPAR alpha antibody used in Western Blot (WB). GTX101098
GTX101098 WB Image

Whole cell extract (30 μg) was separated by 10% SDS-PAGE, and the membrane was blotted with PPAR alpha antibody (GTX101098) diluted at 1:500. The HRP-conjugated anti-rabbit IgG antibody (GTX213110-01) was used to detect the primary antibody.

3 / 9
Anti-PPAR alpha antibody used in ChIP assay (ChIP assay). GTX101098
GTX101098 ChIP assay Image

Cross-linked ChIP was performed with HepG2 chromatin extract and 5 μg of either control rabbit IgG or anti-PPAR alpha antibody. The precipitated DNA was detected by PCR with primer set targeting to C3 promotor or NOD1 gene.

4 / 9
Anti-PPAR alpha antibody used in Western Blot (WB). GTX101098
GTX101098 WB Image

Various tissue extracts (50 μg) were separated by 10% SDS-PAGE, and the membrane was blotted with PPAR alpha antibody (GTX101098) diluted at 1:2000. The HRP-conjugated anti-rabbit IgG antibody (GTX213110-01) was used to detect the primary antibody.

5 / 9
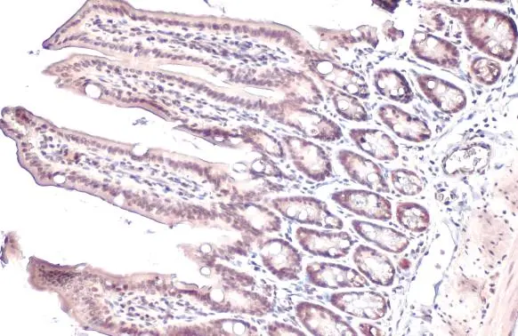
Anti-PPAR alpha antibody used in IHC (Paraffin sections) (IHC-P). GTX101098
GTX101098 IHC-P Image

PPAR alpha antibody detects PPAR alpha protein at nucleus by immunohistochemical analysis.
Sample: Paraffin-embedded mouse intestine.
PPAR alpha stained by PPAR alpha antibody (GTX101098) diluted at 1:165.
Antigen Retrieval: Citrate buffer, pH 6.0, 15 min

6 / 9
Anti-PPAR alpha antibody used in IHC (Paraffin sections) (IHC-P). GTX101098
GTX101098 IHC-P Image

PPAR alpha antibody detects PPAR alpha protein at nucleus by immunohistochemical analysis.
Sample: Paraffin-embedded rat brain.
PPAR alpha stained by PPAR alpha antibody (GTX101098) diluted at 1:165.
Antigen Retrieval: Citrate buffer, pH 6.0, 15 min

7 / 9
Anti-PPAR alpha antibody used in Western Blot (WB). GTX101098
GTX101098 WB Image

The data was published in the 2017 in Sci Rep. PMID: 28169366

8 / 9
Anti-PPAR alpha antibody used in Western Blot (WB). GTX101098
GTX101098 WB Image

The data was published in the 2022 in Commun Biol. PMID: 35552531

9 / 9
Anti-PPAR alpha antibody used in Western Blot (WB). GTX101098
Anti-PPAR alpha antibody used in Western Blot (WB). GTX101098
Anti-PPAR alpha antibody used in Western Blot (WB). GTX101098
Anti-PPAR alpha antibody used in ChIP assay (ChIP assay). GTX101098
Anti-PPAR alpha antibody used in Western Blot (WB). GTX101098
Anti-PPAR alpha antibody used in IHC (Paraffin sections) (IHC-P). GTX101098
Anti-PPAR alpha antibody used in IHC (Paraffin sections) (IHC-P). GTX101098
Anti-PPAR alpha antibody used in Western Blot (WB). GTX101098
Anti-PPAR alpha antibody used in Western Blot (WB). GTX101098
  • 宿主
    Rabbit
  • 克隆
    Polyclonal
  • 同种型
    IgG
  • 实验应用
    WB IHC-P IP ChIP assay
  • 种属反应
    Human, Mouse, Rat, Honeybee, Queen Bee, Plant
查看所有 PPAR alpha 的产品