PPAR gamma抗体

目录号 GTX03364
目录号  GTX03364
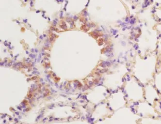
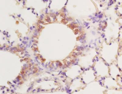
Anti-PPAR gamma antibody used in IHC (Paraffin sections) (IHC-P). GTX03364
GTX03364 IHC-P Image

IHC-P analysis of mouse lung tissue using GTX03364 PPAR gamma antibody.
Dilution : 1:200

1 / 8
Anti-PPAR gamma antibody used in Western Blot (WB). GTX03364
GTX03364 WB Image

WB analysis of various sample lysates using GTX03364 PPAR gamma antibody.
Lane 1 : Mouse Liver tissue lysate
Lane 2 : Mouse Heart tissue lysate
Lane 3: Mouse Lung tissue lysate
Dilution : 1:1000

2 / 8
Anti-PPAR gamma antibody used in Western Blot (WB). GTX03364
GTX03364 WB Image

WB analysis of mouse stomach tissue lysate using GTX03364 PPAR gamma antibody.
Dilution : 1:300

3 / 8
Anti-PPAR gamma antibody used in Western Blot (WB). GTX03364
GTX03364 WB Image

WB analysis of various sample lysates using GTX03364 PPAR gamma antibody.
Lane 1 : A549 whole cell lysate
Lane 2 : Rat Adipocyte tissue lysate
Lane 3 : Mouse Large intestine tissue lysate
Lane 4 : Mouse Lung tissue lysate
Dilution : 1:1000

4 / 8
Anti-PPAR gamma antibody used in Flow cytometry (FCM). GTX03364
GTX03364 FCM Image

FACS analysis of U251 cells using GTX03364 PPAR gamma antibody.
Green : Primary antibody
Blue : Unstained cell
Light blue : Secondary antibody only
Orange : Isotype control
Fixation : 70% ethanol (Overnight at 4ºC)
Permeabilization : 90% ice-cold methanol for 30 min on ice
Dilution : 1:100

5 / 8
Anti-PPAR gamma antibody used in Western Blot (WB). GTX03364
GTX03364 WB Image

WB analysis of sheep heart tissue lysate using GTX03364 PPAR gamma antibody.
Dilution : 1:300

6 / 8
Anti-PPAR gamma antibody used in Western Blot (WB). GTX03364
GTX03364 WB Image

WB analysis of 293Twhole cell lysate using GTX03364 PPAR gamma antibody.
Dilution : 1:1000

7 / 8
Anti-PPAR gamma antibody used in Immunocytochemistry/ Immunofluorescence (ICC/IF). GTX03364
GTX03364 ICC/IF Image

ICC/IF analysis of 4%PFA-fixed A549 cells using GTX03364 PPAR gamma antibody.
Green : Primary antibody
Blue : DAPI
Permeabilization : Triton X-100 at room temperature for 20 min
Dilution : 1:100

8 / 8
Anti-PPAR gamma antibody used in IHC (Paraffin sections) (IHC-P). GTX03364
Anti-PPAR gamma antibody used in Western Blot (WB). GTX03364
Anti-PPAR gamma antibody used in Western Blot (WB). GTX03364
Anti-PPAR gamma antibody used in Western Blot (WB). GTX03364
Anti-PPAR gamma antibody used in Flow cytometry (FCM). GTX03364
Anti-PPAR gamma antibody used in Western Blot (WB). GTX03364
Anti-PPAR gamma antibody used in Western Blot (WB). GTX03364
Anti-PPAR gamma antibody used in Immunocytochemistry/ Immunofluorescence (ICC/IF). GTX03364
  • 宿主
    Rabbit
  • 克隆
    Polyclonal
  • 同种型
    IgG
  • 实验应用
    WB ICC/IF IHC-P FCM
  • 种属反应
    Human, Mouse, Rat, Sheep, Bovine
查看所有 PPAR gamma 的产品