PTPRH抗体 [C2C3], C-term

目录号 GTX119064
目录号  GTX119064
Anti-PTPRH antibody [C2C3], C-term used in Western Blot (WB). GTX119064
GTX119064 WB Image

Sample (30 ug of whole cell lysate)
A: HeLa
7.5% SDS PAGE
GTX119064 diluted at 1:1000

1 / 3
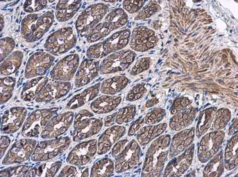
Anti-PTPRH antibody [C2C3], C-term used in IHC (Paraffin sections) (IHC-P). GTX119064
GTX119064 IHC-P Image

PTPRH antibody [C2C3], C-term detects PTPRH protein at cytoplasm in rat colon by immunohistochemical analysis.
Sample: Paraffin-embedded rat colon.
PTPRH antibody [C2C3], C-term (GTX119064) diluted at 1:500.

Antigen Retrieval: Citrate buffer, pH 6.0, 15 min

2 / 3
Anti-PTPRH antibody [C2C3], C-term used in Immunocytochemistry/ Immunofluorescence (ICC/IF). GTX119064
GTX119064 ICC/IF Image

Immunofluorescence analysis of methanol-fixed HeLa, using PTPRH(GTX119064) antibody at 1:500 dilution.

3 / 3
Anti-PTPRH antibody [C2C3], C-term used in Western Blot (WB). GTX119064
Anti-PTPRH antibody [C2C3], C-term used in IHC (Paraffin sections) (IHC-P). GTX119064
Anti-PTPRH antibody [C2C3], C-term used in Immunocytochemistry/ Immunofluorescence (ICC/IF). GTX119064
  • 宿主
    Rabbit
  • 克隆
    Polyclonal
  • 同种型
    IgG
  • 实验应用
    WB ICC/IF IHC-P
  • 种属反应
    Human, Rat
查看所有 PTPRH 的产品