Paxillin抗体 [GT7612]

目录号 GTX633769
目录号  GTX633769
Anti-Paxillin antibody [GT7612] used in Western Blot (WB). GTX633769
GTX633769 WB Image

Non-transfected (–) and transfected (+) HeLa whole cell extracts (50 μg) were separated by 7.5% SDS-PAGE, and the membrane was blotted with Paxillin antibody [GT7612] (GTX633769) diluted at 1:1000.

1 / 5
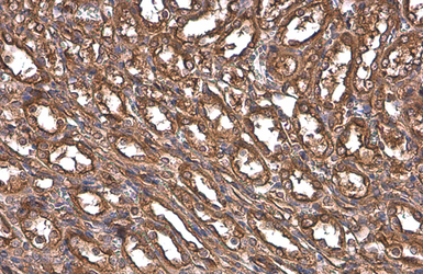
Anti-Paxillin antibody [GT7612] used in IHC (Paraffin sections) (IHC-P). GTX633769
GTX633769 IHC-P Image

Paxillin antibody [GT7612] detects Paxillin protein at cytoplasm by immunohistochemical analysis.
Sample: Paraffin-embedded rat kidney.
Paxillin stained by Paxillin antibody [GT7612] (GTX633769) diluted at 1:200.
Antigen Retrieval: Citrate buffer, pH 6.0, 15 min

2 / 5
Anti-Paxillin antibody [GT7612] used in Western Blot (WB). GTX633769
GTX633769 WB Image

Whole cell extract (30 μg) was separated by 7.5% SDS-PAGE, and the membrane was blotted with Paxillin antibody [GT7612] (GTX633769) diluted at 1:1000.

3 / 5
Anti-Paxillin antibody [GT7612] used in IHC (Paraffin sections) (IHC-P). GTX633769
GTX633769 IHC-P Image

Paxillin antibody [GT7612] detects Paxillin protein at cytoplasm by immunohistochemical analysis.
Sample: Paraffin-embedded mouse testis.
Paxillin stained by Paxillin antibody [GT7612] (GTX633769) diluted at 1:200.
Antigen Retrieval: Citrate buffer, pH 6.0, 15 min

4 / 5
Anti-Paxillin antibody [GT7612] used in Immunocytochemistry/ Immunofluorescence (ICC/IF). GTX633769
GTX633769 ICC/IF Image

Paxillin antibody [GT7612] detects Paxillin protein at focal adhesion sites by immunofluorescent analysis.
Sample: HeLa cells were fixed in 4% paraformaldehyde at RT for 15 min.
Green: Paxillin protein stained by Paxillin antibody [GT7612] (GTX633769) diluted at 1:500.
Red: Phalloidin, a cytoskeleton marker, diluted at 1:100.
Blue: Hoechst 33342 staining.

5 / 5
Anti-Paxillin antibody [GT7612] used in Western Blot (WB). GTX633769
Anti-Paxillin antibody [GT7612] used in IHC (Paraffin sections) (IHC-P). GTX633769
Anti-Paxillin antibody [GT7612] used in Western Blot (WB). GTX633769
Anti-Paxillin antibody [GT7612] used in IHC (Paraffin sections) (IHC-P). GTX633769
Anti-Paxillin antibody [GT7612] used in Immunocytochemistry/ Immunofluorescence (ICC/IF). GTX633769
  • 宿主
    Mouse
  • 克隆
    Monoclonal
  • 克隆编号
    GT7612
  • 同种型
    IgG1
  • 实验应用
    WB ICC/IF IHC-P
  • 种属反应
    Human, Mouse, Rat
查看所有 Paxillin 的产品