Pyruvate Carboxylase抗体

目录号 GTX54577
目录号  GTX54577
Anti-Pyruvate Carboxylase antibody used in Immunoprecipitation (IP). GTX54577
GTX54577 IP Image

IP analysis of HeLa cell lysate using GTX54577 Pyruvate Carboxylase antibody.
Antibody amount : 3μg / 300μg lysate
Dilution : 1:1000

1 / 3
Anti-Pyruvate Carboxylase antibody used in Immunocytochemistry/ Immunofluorescence (ICC/IF). GTX54577
GTX54577 ICC/IF Image

ICC/IF analysis of U2OS cells using GTX54577 Pyruvate Carboxylase antibody.
Blue : DAPI

2 / 3
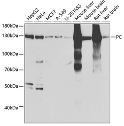
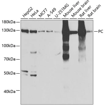
Anti-Pyruvate Carboxylase antibody used in Western Blot (WB). GTX54577
GTX54577 WB Image

WB analysis of various sample lysates using GTX54577 Pyruvate Carboxylase antibody.
Dilution : 1:1000
Loading : 25μg per lane

3 / 3
Anti-Pyruvate Carboxylase antibody used in Immunoprecipitation (IP). GTX54577
Anti-Pyruvate Carboxylase antibody used in Immunocytochemistry/ Immunofluorescence (ICC/IF). GTX54577
Anti-Pyruvate Carboxylase antibody used in Western Blot (WB). GTX54577
  • 宿主
    Rabbit
  • 克隆
    Polyclonal
  • 同种型
    IgG
  • 实验应用
    WB ICC/IF IP
  • 种属反应
    Human, Mouse, Rat
查看所有 Pyruvate Carboxylase 的产品