RAB11B抗体 [N1C3]

目录号 GTX119095
目录号  GTX119095
Anti-RAB11B antibody [N1C3] used in Immunocytochemistry/ Immunofluorescence (ICC/IF). GTX119095
GTX119095 ICC/IF Image

GRAMD1B antibody [C1C2], Internal detects GRAMD1B protein at cytoplasm by immunofluorescent analysis.
Sample: HeLa cells were fixed in 2% paraformaldehyde at RT for 15 min.
Green: GRAMD1B protein stained by GRAMD1B antibody [C1C2], Internal (GTX119095) diluted at 1:500.
Blue: Hoechst 33342 staining.

1 / 12
Anti-RAB11B antibody [N1C3] used in IHC (Paraffin sections) (IHC-P). GTX119095
GTX119095 IHC-P Image

RAB11B antibody [N1C3] detects RAB11B protein at cytoplasm by immunohistochemical analysis.
Sample: Paraffin-embedded mouse brain.
RAB11B stained by RAB11B antibody [N1C3] (GTX119095) diluted at 1:500.
Antigen Retrieval: Citrate buffer, pH 6.0, 15 min

2 / 12
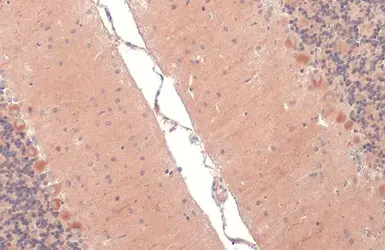
Anti-RAB11B antibody [N1C3] used in IHC (Paraffin sections) (IHC-P). GTX119095
GTX119095 IHC-P Image

RAB11B antibody [N1C3] detects RAB11B protein at cytoplasm by immunohistochemical analysis.
Sample: Paraffin-embedded rat brain.
RAB11B stained by RAB11B antibody [N1C3] (GTX119095) diluted at 1:500.
Antigen Retrieval: Citrate buffer, pH 6.0, 15 min

3 / 12
Anti-RAB11B antibody [N1C3] used in IHC (Paraffin sections) (IHC-P). GTX119095
GTX119095 IHC-P Image

RAB11B antibody [N1C3] detects RAB11B protein at cytoplasm in rat brain by immunohistochemical analysis.
Sample: Paraffin-embedded rat brain.
RAB11B antibody [N1C3] (GTX119095) diluted at 1:500.

Antigen Retrieval: Citrate buffer, pH 6.0, 15 min

4 / 12
Anti-RAB11B antibody [N1C3] used in IHC (Frozen sections) (IHC-Fr). GTX119095
GTX119095 IHC-Fr Image

RAB11B antibody [N1C3] detects RAB11B Protein expression by immunohistochemical analysis.
Sample: Frozen-sectioned adult mouse cerebellum.
Green: RAB11B stained by RAB11B antibody [N1C3] (GTX119095) diluted at 1:250.
Red: NF-H, stained by NF-H antibody [GT114] (GTX634289) diluted at 1:500.
Blue: Fluoroshield with DAPI (GTX30920).

Antigen Retrieval: Citrate buffer, pH 6.0, 10 min

5 / 12
Anti-RAB11B antibody [N1C3] used in IHC (Paraffin sections) (IHC-P). GTX119095
GTX119095 IHC-P Image

RAB11B antibody [N1C3] detects RAB11B protein at cytoplasm by immunohistochemical analysis.
Sample: Paraffin-embedded mouse brain.
RAB11B stained by RAB11B antibody [N1C3] (GTX119095) diluted at 1:1000.
Antigen Retrieval: Citrate buffer, pH 6.0, 15 min

6 / 12
Anti-RAB11B antibody [N1C3] used in IHC (Paraffin sections) (IHC-P). GTX119095
GTX119095 IHC-P Image

Immunohistochemical analysis of paraffin-embedded human colon carcinoma, using RAB11B antibody(GTX119095) antibody at 1:500 dilution.
Antigen Retrieval: Trilogy™ (EDTA based, pH 8.0) buffer, 15min

7 / 12
Anti-RAB11B antibody [N1C3] used in IHC (Paraffin sections) (IHC-P). GTX119095
GTX119095 IHC-P Image

RAB11B antibody [N1C3] detects RAB11B protein at cytoplasm by immunohistochemical analysis.
Sample: Paraffin-embedded mouse brain.
RAB11B stained by RAB11B antibody [N1C3] (GTX119095) diluted at 1:500.
Antigen Retrieval: Citrate buffer, pH 6.0, 15 min

8 / 12
Anti-RAB11B antibody [N1C3] used in Immunocytochemistry/ Immunofluorescence (ICC/IF). GTX119095
GTX119095 ICC/IF Image

RAB11B antibody [N1C3] detects RAB11B protein by immunofluorescent analysis.
Sample: DIV9 rat cortical neuron and Glia cell cells were fixed in 4% paraformaldehyde at RT for 15 min.
Green: RAB11B stained by RAB11B antibody [N1C3] (GTX119095) diluted at 1:250.
Red: Tau, an axon marker, stained by Tau antibody [GT287] (GTX634809) diluted at 1:500.
Blue: Fluoroshield with DAPI (GTX30920).

9 / 12
Anti-RAB11B antibody [N1C3] used in Western Blot (WB). GTX119095
GTX119095 WB Image

Mouse tissue extract (50 μg) was separated by 12% SDS-PAGE, and the membrane was blotted with RAB11B antibody [N1C3] (GTX119095) diluted at 1:1000. The HRP-conjugated anti-rabbit IgG antibody (GTX213110-01) was used to detect the primary antibody.

10 / 12
Anti-RAB11B antibody [N1C3] used in Western Blot (WB). GTX119095
GTX119095 WB Image

Various whole cell extracts (30 μg) were separated by 12% SDS-PAGE, and the membrane was blotted with RAB11B antibody [N1C3] (GTX119095) diluted at 1:1000. The HRP-conjugated anti-rabbit IgG antibody (GTX213110-01) was used to detect the primary antibody.

11 / 12
Anti-RAB11B antibody [N1C3] used in Western Blot (WB). GTX119095
GTX119095 WB Image

Various whole cell extracts (30 μg) were separated by 12% SDS-PAGE, and the membrane was blotted with RAB11B antibody [N1C3] (GTX119095) diluted at 1:1000. The HRP-conjugated anti-rabbit IgG antibody (GTX213110-01) was used to detect the primary antibody.

12 / 12
Anti-RAB11B antibody [N1C3] used in Immunocytochemistry/ Immunofluorescence (ICC/IF). GTX119095
Anti-RAB11B antibody [N1C3] used in IHC (Paraffin sections) (IHC-P). GTX119095
Anti-RAB11B antibody [N1C3] used in IHC (Paraffin sections) (IHC-P). GTX119095
Anti-RAB11B antibody [N1C3] used in IHC (Paraffin sections) (IHC-P). GTX119095
Anti-RAB11B antibody [N1C3] used in IHC (Frozen sections) (IHC-Fr). GTX119095
Anti-RAB11B antibody [N1C3] used in IHC (Paraffin sections) (IHC-P). GTX119095
Anti-RAB11B antibody [N1C3] used in IHC (Paraffin sections) (IHC-P). GTX119095
Anti-RAB11B antibody [N1C3] used in IHC (Paraffin sections) (IHC-P). GTX119095
Anti-RAB11B antibody [N1C3] used in Immunocytochemistry/ Immunofluorescence (ICC/IF). GTX119095
Anti-RAB11B antibody [N1C3] used in Western Blot (WB). GTX119095
Anti-RAB11B antibody [N1C3] used in Western Blot (WB). GTX119095
Anti-RAB11B antibody [N1C3] used in Western Blot (WB). GTX119095
  • 宿主
    Rabbit
  • 克隆
    Polyclonal
  • 同种型
    IgG
  • 实验应用
    WB ICC/IF IHC-P IHC-Fr
  • 种属反应
    Human, Mouse, Rat
查看所有 RAB11B 的产品