RAB17抗体

目录号 GTX33451
目录号  GTX33451
Anti-RAB17 antibody used in IHC (Paraffin sections) (IHC-P). GTX33451
GTX33451 IHC-P Image

IHC-P analysis of human brain cancer tissue using GTX33451 RAB17 antibody.
Dilution : 1:100

1 / 4
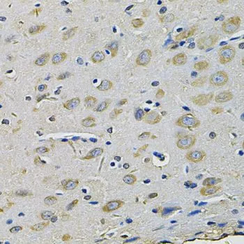
Anti-RAB17 antibody used in IHC (Paraffin sections) (IHC-P). GTX33451
GTX33451 IHC-P Image

IHC-P analysis of mouse brain tissue using GTX33451 RAB17 antibody.
Dilution : 1:100

2 / 4
Anti-RAB17 antibody used in IHC (Paraffin sections) (IHC-P). GTX33451
GTX33451 IHC-P Image

IHC-P analysis of rat brain tissue using GTX33451 RAB17 antibody.
Dilution : 1:100

3 / 4
Anti-RAB17 antibody used in Western Blot (WB). GTX33451
GTX33451 WB Image

WB analysis of various sample lysates using GTX33451 RAB17 antibody.
Dilution : 1:1000
Loading : 25μg per lane

4 / 4
Anti-RAB17 antibody used in IHC (Paraffin sections) (IHC-P). GTX33451
Anti-RAB17 antibody used in IHC (Paraffin sections) (IHC-P). GTX33451
Anti-RAB17 antibody used in IHC (Paraffin sections) (IHC-P). GTX33451
Anti-RAB17 antibody used in Western Blot (WB). GTX33451
  • 宿主
    Rabbit
  • 克隆
    Polyclonal
  • 同种型
    IgG
  • 实验应用
    WB IHC-P
  • 种属反应
    Human, Mouse, Rat
查看所有 RAB17 的产品