RAB5A抗体 [HL1497]

目录号 GTX636971
目录号  GTX636971
Anti-RAB5A antibody [HL1497] used in IHC (Paraffin sections) (IHC-P). GTX636971
GTX636971 IHC-P Image

RAB5A antibody [HL1497] detects RAB5A protein by immunohistochemical analysis.
Sample: Paraffin-embedded mouse tissues.
RAB5A stained by RAB5A antibody [HL1497] (GTX636971) diluted at 1:20000.
Antigen Retrieval: Citrate buffer, pH 6.0, 15 min

1 / 6
Anti-RAB5A antibody [HL1497] used in IHC (Paraffin sections) (IHC-P). GTX636971
GTX636971 IHC-P Image

RAB5A antibody [HL1497] detects RAB5A protein at cytoplasm by immunohistochemical analysis.
Sample: Paraffin-embedded dog muscle.
RAB5A stained by RAB5A antibody [HL1497] (GTX636971) diluted at 1:100.
Antigen Retrieval: Citrate buffer, pH 6.0, 15 min

2 / 6
Anti-RAB5A antibody [HL1497] used in IHC (Paraffin sections) (IHC-P). GTX636971
GTX636971 IHC-P Image

RAB5A antibody [HL1497] detects RAB5A protein at cytoplasm by immunohistochemical analysis.
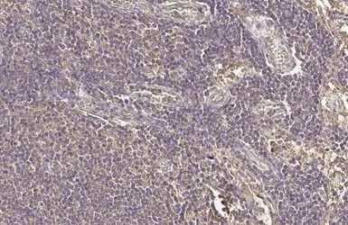
Sample: Paraffin-embedded cat lymph node.
RAB5A stained by RAB5A antibody [HL1497] (GTX636971) diluted at 1:100.
Antigen Retrieval: Citrate buffer, pH 6.0, 15 min

3 / 6
Anti-RAB5A antibody [HL1497] used in IHC (Paraffin sections) (IHC-P). GTX636971
GTX636971 IHC-P Image

RAB5A antibody [HL1497] detects RAB5A protein by immunohistochemical analysis.
Sample: Paraffin-embedded rat kidney.
RAB5A stained by RAB5A antibody [HL1497] (GTX636971) diluted at 1:100.
Antigen Retrieval: Citrate buffer, pH 6.0, 15 min

4 / 6
Anti-RAB5A antibody [HL1497] used in Western Blot (WB). GTX636971
GTX636971 WB Image

Various whole cell extracts (30 μg) were separated by 12% SDS-PAGE, and the membrane was blotted with RAB5A antibody [HL1497] (GTX636971) diluted at 1:1000. The HRP-conjugated anti-rabbit IgG antibody (GTX213110-01) was used to detect the primary antibody.

5 / 6
Anti-RAB5A antibody [HL1497] used in IHC (Paraffin sections) (IHC-P). GTX636971
GTX636971 IHC-P Image

RAB5A antibody [HL1497] detects RAB5A protein at cell membrane and cytoplasm by immunohistochemical analysis.
Sample: Paraffin-embedded mouse kidney.
RAB5A stained by RAB5A antibody [HL1497] (GTX636971) diluted at 1:100.
Antigen Retrieval: Citrate buffer, pH 6.0, 15 min

6 / 6
Anti-RAB5A antibody [HL1497] used in IHC (Paraffin sections) (IHC-P). GTX636971
Anti-RAB5A antibody [HL1497] used in IHC (Paraffin sections) (IHC-P). GTX636971
Anti-RAB5A antibody [HL1497] used in IHC (Paraffin sections) (IHC-P). GTX636971
Anti-RAB5A antibody [HL1497] used in IHC (Paraffin sections) (IHC-P). GTX636971
Anti-RAB5A antibody [HL1497] used in Western Blot (WB). GTX636971
Anti-RAB5A antibody [HL1497] used in IHC (Paraffin sections) (IHC-P). GTX636971
  • 宿主
    Rabbit
  • 克隆
    Monoclonal
  • 克隆编号
    HL1497
  • 同种型
    IgG
  • 实验应用
    WB ICC/IF IHC-P IP
  • 种属反应
    Human, Mouse, Rat, Cat, Dog
查看所有 RAB5A 的产品