RGS19抗体 [C2C3], C-term

目录号 GTX106302
目录号  GTX106302
Anti-RGS19 antibody [C2C3], C-term used in Western Blot (WB). GTX106302
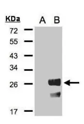
GTX106302 WB Image

Western Blot analysis of RGS19 expression in transfected 293T cell line by RGS19 polyclonal antibody.
A: Non-transfected lysate.
B: RGS19 transfected lysate.
12% SDS PAGE
GTX106302 diluted at 1:500

1 / 1
Anti-RGS19 antibody [C2C3], C-term used in Western Blot (WB). GTX106302
  • 宿主
    Rabbit
  • 克隆
    Polyclonal
  • 同种型
    IgG
  • 实验应用
    WB
  • 种属反应
    Human
查看所有 RGS19 的产品