RIN2抗体

目录号 GTX117153
目录号  GTX117153
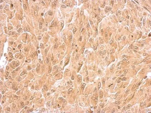
Anti-RIN2 antibody used in IHC (Paraffin sections) (IHC-P). GTX117153
GTX117153 IHC-P Image

RIN2 antibody detects RIN2 protein at cytosol on hepatoma by immunohistochemical analysis.
Sample: Paraffin-embedded U87 xenograft.
RIN2 antibody (GTX117153) dilution: 1:500.

Antigen Retrieval: Trilogy™ (EDTA based, pH 8.0) buffer, 15min

1 / 4
Anti-RIN2 antibody used in Western Blot (WB). GTX117153
GTX117153 WB Image

Sample (30 ug of whole cell lysate)
A: HepG2
5% SDS PAGE
GTX117153 diluted at 1:1000

2 / 4
Anti-RIN2 antibody used in Immunocytochemistry/ Immunofluorescence (ICC/IF). GTX117153
GTX117153 ICC/IF Image

Confocal immunofluorescence analysis (Olympus FV10i) of methanol-fixed HeLa, using RIN2(GTX117153) antibody (Green) at 1:500 dilution. Alpha-tubulin filaments were labeled with GTX11304 (Red) at 1:2000.

3 / 4
Anti-RIN2 antibody used in IHC (Paraffin sections) (IHC-P). GTX117153
GTX117153 IHC-P Image

RIN2 antibody detects RIN2 protein at cytosol on mouse kidney by immunohistochemical analysis.
Sample: Paraffin-embedded mouse kidney.
RIN2 antibody (GTX117153) dilution: 1:1000.

Antigen Retrieval: Trilogy™ (EDTA based, pH 8.0) buffer, 15min

4 / 4
Anti-RIN2 antibody used in IHC (Paraffin sections) (IHC-P). GTX117153
Anti-RIN2 antibody used in Western Blot (WB). GTX117153
Anti-RIN2 antibody used in Immunocytochemistry/ Immunofluorescence (ICC/IF). GTX117153
Anti-RIN2 antibody used in IHC (Paraffin sections) (IHC-P). GTX117153
  • 宿主
    Rabbit
  • 克隆
    Polyclonal
  • 同种型
    IgG
  • 实验应用
    WB ICC/IF IHC-P
  • 种属反应
    Human, Mouse, Rat
查看所有 RIN2 的产品