ROCK1抗体

目录号 GTX32843
目录号  GTX32843
Anti-ROCK1 antibody used in Western Blot (WB). GTX32843
GTX32843 WB Image

WB analysis of various sample lysates using GTX32843 ROCK1 antibody.
Dilution : 1:1000
Loading : 25μg per lane

1 / 4
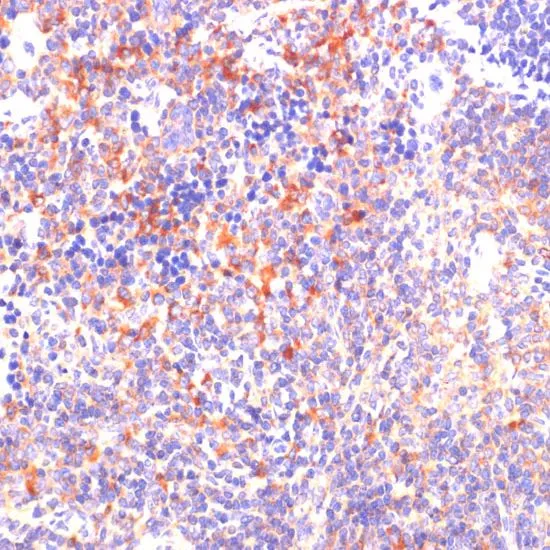
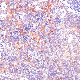
Anti-ROCK1 antibody used in IHC (Paraffin sections) (IHC-P). GTX32843
GTX32843 IHC-P Image

IHC-P analysis of mouse spleen tissue using GTX32843 ROCK1 antibody.
Dilution : 1:100

2 / 4
Anti-ROCK1 antibody used in Western Blot (WB). GTX32843
GTX32843 WB Image

WB analysis of normal (control) and knockout (KO) HeLa cell lysate using GTX32843 ROCK1 antibody.
Dilution : 1:1000
Loading : 25μg per lane

3 / 4
Anti-ROCK1 antibody used in Immunoprecipitation (IP). GTX32843
GTX32843 IP Image

IP analysis of 293T cell lysate using GTX32843 ROCK1 antibody.
Antibody amount : 3μg / 200μg lysate
Dilution : 1:1000

4 / 4
Anti-ROCK1 antibody used in Western Blot (WB). GTX32843
Anti-ROCK1 antibody used in IHC (Paraffin sections) (IHC-P). GTX32843
Anti-ROCK1 antibody used in Western Blot (WB). GTX32843
Anti-ROCK1 antibody used in Immunoprecipitation (IP). GTX32843
  • 宿主
    Rabbit
  • 克隆
    Polyclonal
  • 同种型
    IgG
  • 实验应用
    WB IHC-P IP
  • 种属反应
    Human, Mouse
查看所有 ROCK1 的产品