RUNX2 (phospho Ser28)抗体

目录号 GTX00811
目录号  GTX00811
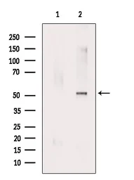
Anti-RUNX2 (phospho Ser28) antibody used in Western Blot (WB). GTX00811
GTX00811 WB Image

WB analysis of mouse thymus tissue lysate using GTX00811 RUNX2 (phospho Ser28) antibody pre-incubated with phospho- or non-phospho- peptide.
P-peptide : phospho-peptide
N-peptide : non-phospho-peptide

1 / 8
Anti-RUNX2 (phospho Ser28) antibody used in Immunocytochemistry/ Immunofluorescence (ICC/IF). GTX00811
GTX00811 ICC/IF Image

ICC/IF analysis of PFA-fixed HepG2 cells with LPS treatment for 4hrs using GTX00811 RUNX2 (phospho Ser28) antibody.
Red : Primary antibody
Green : Tubulin
Permeabilization : 0.1% Triton X-100
Dilution : 1:200

2 / 8
Anti-RUNX2 (phospho Ser28) antibody used in Western Blot (WB). GTX00811
GTX00811 WB Image

WB analysis of mouse thymus tissue lysate using GTX00811 RUNX2 (phospho Ser28) antibody pre-incubated with phospho- or non-phospho- peptide.
P-peptide : phospho-peptide
N-peptide : non-phospho-peptide

3 / 8
Anti-RUNX2 (phospho Ser28) antibody used in IHC (Paraffin sections) (IHC-P). GTX00811
GTX00811 IHC-P Image

IHC-P analysis of mouse heart tissue using GTX00811 RUNX2 (phospho Ser28) antibody.
Antigen retrieval : Heat mediated antigen retrieval step in citrate buffer
Dilution : 1:100

4 / 8
Anti-RUNX2 (phospho Ser28) antibody used in IHC (Paraffin sections) (IHC-P). GTX00811
GTX00811 IHC-P Image

IHC-P analysis of rat heart tissue using GTX00811 RUNX2 (phospho Ser28) antibody.
Antigen retrieval : Heat mediated antigen retrieval step in citrate buffer
Dilution : 1:100

5 / 8
Anti-RUNX2 (phospho Ser28) antibody used in IHC (Paraffin sections) (IHC-P). GTX00811
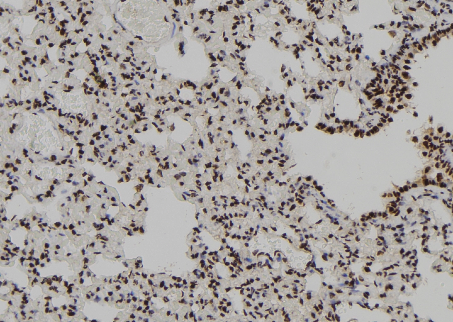
GTX00811 IHC-P Image

IHC-P analysis of rat lung tissue using GTX00811 RUNX2 (phospho Ser28) antibody.
Antigen retrieval : Heat mediated antigen retrieval step in citrate buffer
Dilution : 1:100

6 / 8
Anti-RUNX2 (phospho Ser28) antibody used in ELISA (ELISA). GTX00811
GTX00811 ELISA Image

ELISA analysis of phospho- and non phosho- immunogen peptide using GTX00811 RUNX2 (phospho Ser28) antibody.
P-peptide : phospho-peptide
N-peptide : non-phospho-peptide
Peptides concentration : 1μg/ml

7 / 8
Anti-RUNX2 (phospho Ser28) antibody used in Western Blot (WB). GTX00811
GTX00811 WB Image

WB analysis of heat-shock treated HepG2 cell lysate using GTX00811 RUNX2 (phospho Ser28) antibody. The lane on the left was treated with blocking peptide.

8 / 8
Anti-RUNX2 (phospho Ser28) antibody used in Western Blot (WB). GTX00811
Anti-RUNX2 (phospho Ser28) antibody used in Immunocytochemistry/ Immunofluorescence (ICC/IF). GTX00811
Anti-RUNX2 (phospho Ser28) antibody used in Western Blot (WB). GTX00811
Anti-RUNX2 (phospho Ser28) antibody used in IHC (Paraffin sections) (IHC-P). GTX00811
Anti-RUNX2 (phospho Ser28) antibody used in IHC (Paraffin sections) (IHC-P). GTX00811
Anti-RUNX2 (phospho Ser28) antibody used in IHC (Paraffin sections) (IHC-P). GTX00811
Anti-RUNX2 (phospho Ser28) antibody used in ELISA (ELISA). GTX00811
Anti-RUNX2 (phospho Ser28) antibody used in Western Blot (WB). GTX00811
  • 宿主
    Rabbit
  • 克隆
    Polyclonal
  • 同种型
    IgG
  • 实验应用
    WB ICC/IF IHC-P ELISA
  • 种属反应
    Human, Mouse, Rat
查看所有 RUNX2 的产品