SFTPC抗体

目录号 GTX04974
目录号  GTX04974
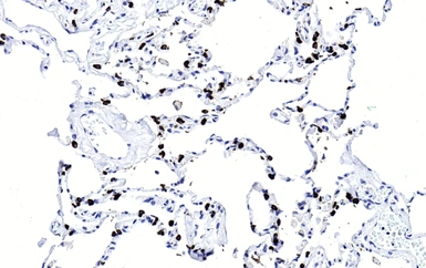
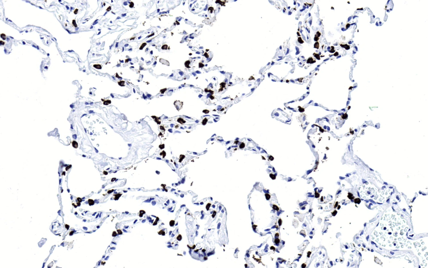
Anti-SFTPC antibody used in IHC (Paraffin sections) (IHC-P). GTX04974
GTX04974 IHC-P Image

IHC-P analysis of human lung tissue using GTX04974 SFTPC antibody.
Dilution : 1:200

1 / 4
Anti-SFTPC antibody used in Immunocytochemistry/ Immunofluorescence (ICC/IF). GTX04974
GTX04974 ICC/IF Image

ICC/IF analysis of 4% PFA-fixed A549 cells using GTX04974 SFTPC antibody.
Green : Primary antibody
Blue : DAPI
Permeabilization : 0.1% Triton X-100
Dilution : 1:25

2 / 4
Anti-SFTPC antibody used in Western Blot (WB). GTX04974
GTX04974 WB Image

WB analysis of various samples using GTX04974 SFTPC antibody.
Lane 1 : Human lung tissue lysate
Lane 2 : Mouse lung tissue lysate
Lane 3 : Rat lung tissue lysate
Loading : 20μg
Dilution : 1:2000

3 / 4
Anti-SFTPC antibody used in Flow cytometry (FCM). GTX04974
GTX04974 FCM Image

FACS analysis of 2% PFA-fixed A549 cells using GTX04974 SFTPC antibody.
Green line : Primary antibody
Blue line : Isotype control
Dilution : 1:25
Permeabilization : 90% methanol

4 / 4
Anti-SFTPC antibody used in IHC (Paraffin sections) (IHC-P). GTX04974
Anti-SFTPC antibody used in Immunocytochemistry/ Immunofluorescence (ICC/IF). GTX04974
Anti-SFTPC antibody used in Western Blot (WB). GTX04974
Anti-SFTPC antibody used in Flow cytometry (FCM). GTX04974
  • 宿主
    Rabbit
  • 克隆
    Polyclonal
  • 同种型
    IgG
  • 实验应用
    WB ICC/IF IHC-P FCM
  • 种属反应
    Human, Mouse, Rat
查看所有 SFTPC 的产品