SFTPC抗体

目录号 GTX54694
目录号  GTX54694
Anti-SFTPC antibody used in IHC (Paraffin sections) (IHC-P). GTX54694
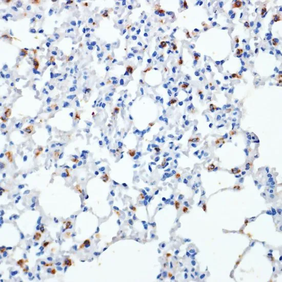
GTX54694 IHC-P Image

IHC-P analysis of mouse lung tissue using GTX54694 SFTPC antibody.
Blue : DAPI
Dilution : 1:100

1 / 7
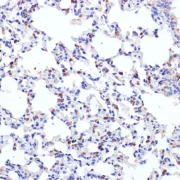
Anti-SFTPC antibody used in IHC (Paraffin sections) (IHC-P). GTX54694
GTX54694 IHC-P Image

IHC-P analysis of human lung tissue using GTX54694 SFTPC antibody.
Dilution : 1:200

2 / 7
Anti-SFTPC antibody used in Western Blot (WB). GTX54694
GTX54694 WB Image

WB analysis of mouse lung tissue lysate using GTX54694 SFTPC antibody.
Dilution : 1:1000
Loading : 25μg per lane

3 / 7
Anti-SFTPC antibody used in IHC (Paraffin sections) (IHC-P). GTX54694
GTX54694 IHC-P Image

IHC-P analysis of rat lung tissue using GTX54694 SFTPC antibody.
Blue : DAPI
Dilution : 1:100

4 / 7
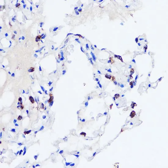
Anti-SFTPC antibody used in IHC (Paraffin sections) (IHC-P). GTX54694
GTX54694 IHC-P Image

IHC-P analysis of rat lung tissue using GTX54694 SFTPC antibody.
Dilution : 1:200

5 / 7
Anti-SFTPC antibody used in IHC (Paraffin sections) (IHC-P). GTX54694
GTX54694 IHC-P Image

IHC-P analysis of human lung cancer tissue using GTX54694 SFTPC antibody.
Blue : DAPI
Dilution : 1:100

6 / 7
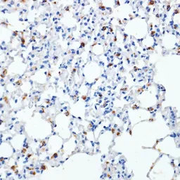
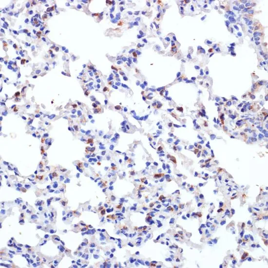
Anti-SFTPC antibody used in IHC (Paraffin sections) (IHC-P). GTX54694
GTX54694 IHC-P Image

IHC-P analysis of mouse lung tissue using GTX54694 SFTPC antibody.
Dilution : 1:200

7 / 7
Anti-SFTPC antibody used in IHC (Paraffin sections) (IHC-P). GTX54694
Anti-SFTPC antibody used in IHC (Paraffin sections) (IHC-P). GTX54694
Anti-SFTPC antibody used in Western Blot (WB). GTX54694
Anti-SFTPC antibody used in IHC (Paraffin sections) (IHC-P). GTX54694
Anti-SFTPC antibody used in IHC (Paraffin sections) (IHC-P). GTX54694
Anti-SFTPC antibody used in IHC (Paraffin sections) (IHC-P). GTX54694
Anti-SFTPC antibody used in IHC (Paraffin sections) (IHC-P). GTX54694
  • 宿主
    Rabbit
  • 克隆
    Polyclonal
  • 同种型
    IgG
  • 实验应用
    WB IHC-P
  • 种属反应
    Human, Mouse, Rat, Pig
查看所有 SFTPC 的产品