SMAD2 / SMAD3抗体

目录号 GTX111123
目录号  GTX111123
Anti-SMAD2 / SMAD3 antibody used in ChIP assay (ChIP assay). GTX111123
GTX111123 ChIP assay Image

SMAD2 / SMAD3 antibody immunoprecipitates SMAD2 / SMAD3 protein-DNA in ChIP experiments. ChIP Sample: HeLa whole cell lysate/extract A. 5 μg preimmune rabbit IgG B. 5 μg of SMAD2 / SMAD3 antibody (GTX111123) The precipitated DNA was detected by PCR with primer set targeting to smad7 promoter.

1 / 12
Anti-SMAD2 / SMAD3 antibody used in Western Blot (WB). GTX111123
GTX111123 WB Image

Non-transfected (–) and transfected (+) 293T whole cell extracts (30 μg) were separated by 10% SDS-PAGE, and the membrane was blotted with SMAD2 / SMAD3 antibody (GTX111123) diluted at 1:20000. The HRP-conjugated anti-rabbit IgG antibody (GTX213110-01) was used to detect the primary antibody.

2 / 12
Anti-SMAD2 / SMAD3 antibody used in Western Blot (WB). GTX111123
GTX111123 WB Image

Whole cell extract (30 μg) was separated by 10% SDS-PAGE, and the membrane was blotted with SMAD2 / SMAD3 antibody (GTX111123) diluted at 1:5000. The HRP-conjugated anti-rabbit IgG antibody (GTX213110-01) was used to detect the primary antibody.

3 / 12
Anti-SMAD2 / SMAD3 antibody used in Western Blot (WB). GTX111123
GTX111123 WB Image

Various tissue extracts (50 μg) were separated by 10% SDS-PAGE, and the membrane was blotted with SMAD2 / SMAD3 antibody (GTX111123) diluted at 1:5000. The HRP-conjugated anti-rabbit IgG antibody (GTX213110-01) was used to detect the primary antibody.

4 / 12
Anti-SMAD2 / SMAD3 antibody used in Immunoprecipitation (IP). GTX111123
GTX111123 IP Image

Immunoprecipitation of SMAD2 / SMAD3 protein from HeLa whole cell extracts using 2 μg of SMAD2 / SMAD3 antibody (GTX111123).
Western blot analysis was performed using SMAD2 / SMAD3 antibody (GTX111123) diluted at 1:1000.
EasyBlot HRP-conjugated anti rabbit IgG antibody (GTX221666-01) was used to detect the primary antibody.

5 / 12
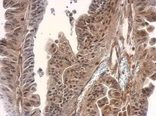
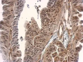
Anti-SMAD2 / SMAD3 antibody used in IHC (Paraffin sections) (IHC-P). GTX111123
GTX111123 IHC-P Image

SMAD2 / SMAD3 antibody detects SMAD2 / SMAD3 protein at cytosol and nucleus on human gastric cancer by immunohistochemical analysis.
Sample: Paraffin-embedded gastric cancer.
SMAD2 / SMAD3 antibody (GTX111123) dilution: 1:500.

Antigen Retrieval: Trilogy™ (EDTA based, pH 8.0) buffer, 15min

6 / 12
Anti-SMAD2 / SMAD3 antibody used in Western Blot (WB). GTX111123
GTX111123 WB Image

Various whole cell extracts (30 μg) were separated by 10% SDS-PAGE, and the membrane was blotted with SMAD2 / SMAD3 antibody (GTX111123) diluted at 1:5000. The HRP-conjugated anti-rabbit IgG antibody (GTX213110-01) was used to detect the primary antibody.

7 / 12
Anti-SMAD2 / SMAD3 antibody used in Immunocytochemistry/ Immunofluorescence (ICC/IF). GTX111123
GTX111123 ICC/IF Image

Immunofluorescence analysis of paraformaldehyde-fixed HeLa, using SMAD2 / SMAD3 (GTX111123) antibody at 1:200 dilution.

8 / 12
Anti-SMAD2 / SMAD3 antibody used in Western Blot (WB). GTX111123
GTX111123 WB Image

The data was published in the 2022 in Front Pharmacol. PMID: 35517780

9 / 12
Anti-SMAD2 / SMAD3 antibody used in Western Blot (WB). GTX111123
GTX111123 WB Image

The data was published in the 2022 in Front Pharmacol. PMID: 35517780

10 / 12
Anti-SMAD2 / SMAD3 antibody used in Western Blot (WB). GTX111123
GTX111123 WB Image

The data was published in the 2022 in Front Pharmacol. PMID: 35517780

11 / 12
Anti-SMAD2 / SMAD3 antibody used in Western Blot (WB). GTX111123
GTX111123 WB Image

The data was published in the 2022 in Front Pharmacol. PMID: 35517780

12 / 12
Anti-SMAD2 / SMAD3 antibody used in ChIP assay (ChIP assay). GTX111123
Anti-SMAD2 / SMAD3 antibody used in Western Blot (WB). GTX111123
Anti-SMAD2 / SMAD3 antibody used in Western Blot (WB). GTX111123
Anti-SMAD2 / SMAD3 antibody used in Western Blot (WB). GTX111123
Anti-SMAD2 / SMAD3 antibody used in Immunoprecipitation (IP). GTX111123
Anti-SMAD2 / SMAD3 antibody used in IHC (Paraffin sections) (IHC-P). GTX111123
Anti-SMAD2 / SMAD3 antibody used in Western Blot (WB). GTX111123
Anti-SMAD2 / SMAD3 antibody used in Immunocytochemistry/ Immunofluorescence (ICC/IF). GTX111123
Anti-SMAD2 / SMAD3 antibody used in Western Blot (WB). GTX111123
Anti-SMAD2 / SMAD3 antibody used in Western Blot (WB). GTX111123
Anti-SMAD2 / SMAD3 antibody used in Western Blot (WB). GTX111123
Anti-SMAD2 / SMAD3 antibody used in Western Blot (WB). GTX111123
  • 宿主
    Rabbit
  • 克隆
    Polyclonal
  • 同种型
    IgG
  • 实验应用
    WB ICC/IF IHC-P FCM IP ChIP assay
  • 种属反应
    Human, Mouse, Rat
查看所有 SMAD2 / SMAD3 的产品