SNAI1抗体

目录号 GTX125918
目录号  GTX125918
Anti-SNAI1 antibody used in Western Blot (WB). GTX125918
GTX125918 WB Image

Untreated (–) and treated (+) HeLa whole cell extracts (50 μg) were separated by 10% SDS-PAGE, and the membranes were blotted with SNAI1 antibody (GTX125918) diluted at 1:1000 and competitor's antibody (#3879) diluted at 1:1000. The HRP-conjugated anti-rabbit IgG antibody (GTX213110-01) was used to detect the primary antibody, and the signal was developed with Trident ECL plus-Enhanced.

*The competitor is not affiliated with GeneTex and does not endorse this product.

1 / 10
Anti-SNAI1 antibody used in Western Blot (WB). GTX125918
GTX125918 WB Image

Non-transfected (–) and transfected (+) 293T whole cell extracts (30 μg) were separated by 12% SDS-PAGE, and the membrane was blotted with SNAI1 antibody (GTX125918) diluted at 1:5000. The HRP-conjugated anti-rabbit IgG antibody (GTX213110-01) was used to detect the primary antibody.

2 / 10
Anti-SNAI1 antibody used in IHC (Paraffin sections) (IHC-P). GTX125918
GTX125918 IHC-P Image

SNAI1 antibody detects SNAI1 protein at nucleus and cytosol on human breast carcinoma by immunohistochemical analysis.
Sample: Paraffin-embedded human breast carcinoma.
SNAI1 antibody (GTX125918) dilution: 1:500.

Antigen Retrieval: Trilogy™ (EDTA based, pH 8.0) buffer, 15min

3 / 10
Anti-SNAI1 antibody used in Western Blot (WB). GTX125918
GTX125918 WB Image

Various whole cell extracts (30 μg) were separated by 12% SDS-PAGE, and the membrane was blotted with SNAI1 antibody (GTX125918) diluted at 1:500. The HRP-conjugated anti-rabbit IgG antibody (GTX213110-01) was used to detect the primary antibody, and the signal was developed with Trident ECL plus-Enhanced.

4 / 10
Anti-SNAI1 antibody used in Immunocytochemistry/ Immunofluorescence (ICC/IF). GTX125918
GTX125918 ICC/IF Image

SNAI1 antibody detects SNAI1 protein at cytoplasm and nucleus by immunofluorescent analysis.
Sample: HeLa cells were fixed in 4% paraformaldehyde at RT for 15 min.
Green: SNAI1 protein stained by SNAI1 antibody (GTX125918) diluted at 1:1000.
Blue: Hoechst 33342 staining.
Scale bar = 10 μm.

5 / 10
Anti-SNAI1 antibody used in Western Blot (WB). GTX125918
GTX125918 WB Image

Wild-type (WT) and SNAI1 knockout (KO) HeLa cell extracts (30 μg) were separated by 12% SDS-PAGE, and the membrane was blotted with SNAI1 antibody (GTX125918) diluted at 1:500. The HRP-conjugated anti-rabbit IgG antibody (GTX213110-01) was used to detect the primary antibody, and the signal was developed with Trident ECL plus-Enhanced.

6 / 10
Anti-SNAI1 antibody used in Western Blot (WB). GTX125918
GTX125918 WB Image

Various whole cell extracts (30 μg) were separated by 12% SDS-PAGE, and the membrane was blotted with SNAI1 antibody (GTX125918) diluted at 1:500. The HRP-conjugated anti-rabbit IgG antibody (GTX213110-01) was used to detect the primary antibody, and the signal was developed with Trident femto Western HRP Substrate. Corresponding RNA expression data for the same cell lines are based on Human Protein Atlas program.

7 / 10
Anti-SNAI1 antibody used in Western Blot (WB). GTX125918
GTX125918 WB Image

Untreated (–) and treated (+) HeLa whole cell extract (30 μg) were separated by 12% SDS-PAGE, and the membrane was blotted with SNAI1 antibody (GTX125918) diluted at 1:500. The HRP-conjugated anti-rabbit IgG antibody (GTX213110-01) was used to detect the primary antibody.

8 / 10
Anti-SNAI1 antibody used in Western Blot (WB). GTX125918
GTX125918 WB Image

The data was published in the journal Oncotarget in 2016.PMID: 26840566

9 / 10
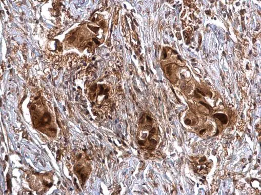
Anti-SNAI1 antibody used in IHC (Paraffin sections) (IHC-P). GTX125918
GTX125918 IHC-P Image

The data was published in the journal Oncotarget in 2016.PMID: 26840566

10 / 10
Anti-SNAI1 antibody used in Western Blot (WB). GTX125918
Anti-SNAI1 antibody used in Western Blot (WB). GTX125918
Anti-SNAI1 antibody used in IHC (Paraffin sections) (IHC-P). GTX125918
Anti-SNAI1 antibody used in Western Blot (WB). GTX125918
Anti-SNAI1 antibody used in Immunocytochemistry/ Immunofluorescence (ICC/IF). GTX125918
Anti-SNAI1 antibody used in Western Blot (WB). GTX125918
Anti-SNAI1 antibody used in Western Blot (WB). GTX125918
Anti-SNAI1 antibody used in Western Blot (WB). GTX125918
Anti-SNAI1 antibody used in Western Blot (WB). GTX125918
Anti-SNAI1 antibody used in IHC (Paraffin sections) (IHC-P). GTX125918
  • 宿主
    Rabbit
  • 克隆
    Polyclonal
  • 同种型
    IgG
  • 实验应用
    WB ICC/IF IHC-P IHC
  • 种属反应
    Human, Mouse, Rat
查看所有 SNAI1 的产品