SOX2抗体 [HL1193]

目录号 GTX636505
目录号  GTX636505
Anti-SOX2 antibody [HL1193] used in Western Blot (WB). GTX636505
GTX636505 WB Image

Non-transfected (–) and transfected (+) NT2D1 whole cell extract (30 μg) were separated by 12% SDS-PAGE, and the membrane was blotted with SOX2 antibody [HL1193] (GTX636505) diluted at 1:1000. The HRP-conjugated anti-rabbit IgG antibody (GTX213110-01) was used to detect the primary antibody.

1 / 10
Anti-SOX2 antibody [HL1193] used in Western Blot (WB). GTX636505
GTX636505 WB Image

Whole cell extract (30 μg) was separated by 12% SDS-PAGE, and the membranes were blotted with SOX2 antibody [HL1193] (GTX636505) diluted at 1:1000 and competitor's antibody (sc-17320) diluted at 1:1000. The HRP-conjugated anti-rabbit IgG antibody (GTX213110-01) was used to detect the primary antibody.

*The competitor is not affiliated with GeneTex and does not endorse this product.

2 / 10
Anti-SOX2 antibody [HL1193] used in IHC (Paraffin sections) (IHC-P). GTX636505
GTX636505 IHC-P Image

SOX2 antibody [HL1193] detects SOX2 protein by immunohistochemical analysis.
Sample: Paraffin-embedded mouse tissues.
SOX2 stained by SOX2 antibody [HL1193] (GTX636505) diluted at 1:2000.
Antigen Retrieval: Citrate buffer, pH 6.0, 15 min

3 / 10
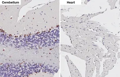
Anti-SOX2 antibody [HL1193] used in IHC (Paraffin sections) (IHC-P). GTX636505
GTX636505 IHC-P Image

SOX2 antibody [HL1193] detects SOX2 protein by immunohistochemical analysis.
Sample: Paraffin-embedded mouse tissues.
SOX2 stained by SOX2 antibody [HL1193] (GTX636505) diluted at 1:2000.
Antigen Retrieval: Citrate buffer, pH 6.0, 15 min

4 / 10
Anti-SOX2 antibody [HL1193] used in IHC (Paraffin sections) (IHC-P). GTX636505
GTX636505 IHC-P Image

SOX2 antibody [HL1193] detects SOX2 protein by immunohistochemical analysis.
Sample: Paraffin-embedded human tonsil.
SOX2 stained by SOX2 antibody [HL1193] (GTX636505) diluted at 1:100.
Antigen Retrieval: Tris-EDTA buffer, pH 9.0, 15 min

5 / 10
Anti-SOX2 antibody [HL1193] used in Western Blot (WB). GTX636505
GTX636505 WB Image

Whole cell extract (30 μg) was separated by 12% SDS-PAGE, and the membrane was blotted with SOX2 antibody [HL1193] (GTX636505) diluted at 1:1000. The HRP-conjugated anti-rabbit IgG antibody (GTX213110-01) was used to detect the primary antibody.

6 / 10
Anti-SOX2 antibody [HL1193] used in Western Blot (WB). GTX636505
GTX636505 WB Image

Whole cell extract (30 μg) was separated by 12% SDS-PAGE, and the membrane was blotted with SOX2 antibody [HL1193] (GTX636505) diluted at 1:1000. The HRP-conjugated anti-rabbit IgG antibody (GTX213110-01) was used to detect the primary antibody.

7 / 10
Anti-SOX2 antibody [HL1193] used in Immunocytochemistry/ Immunofluorescence (ICC/IF). GTX636505
GTX636505 ICC/IF Image

SOX2 antibody [HL1193] detects SOX2 protein at nucleus by immunofluorescent analysis.
Sample: DIV10 rat E18 primary hippocampal neuron cells were fixed in 4% paraformaldehyde at RT for 15 min.
Green: SOX2 stained by SOX2 antibody [HL1193] (GTX636505) diluted at 1:500.
Red: Tau, an axon marker, stained by Tau antibody [GT287] (GTX634809) diluted at 1:500.

8 / 10
Anti-SOX2 antibody [HL1193] used in IHC (Paraffin sections) (IHC-P). GTX636505
GTX636505 IHC-P Image

SOX2 antibody detects SOX2 protein by immunohistochemical analysis.
Sample: Paraffin-embedded rat tissues.
SOX2 stained by SOX2 antibody (GTX636505) diluted at 1:100.
Antigen Retrieval: Citrate buffer, pH 6.0, 15 min

9 / 10
Anti-SOX2 antibody [HL1193] used in Western Blot (WB). GTX636505
GTX636505 WB Image

Mouse ESC extract (50 μg) was separated by 12% SDS-PAGE, and the membrane was blotted with SOX2 antibody [HL1193] (GTX636505) diluted at 1:1000. The HRP-conjugated anti-rabbit IgG antibody (GTX213110-01) was used to detect the primary antibody.

10 / 10
Anti-SOX2 antibody [HL1193] used in Western Blot (WB). GTX636505
Anti-SOX2 antibody [HL1193] used in Western Blot (WB). GTX636505
Anti-SOX2 antibody [HL1193] used in IHC (Paraffin sections) (IHC-P). GTX636505
Anti-SOX2 antibody [HL1193] used in IHC (Paraffin sections) (IHC-P). GTX636505
Anti-SOX2 antibody [HL1193] used in IHC (Paraffin sections) (IHC-P). GTX636505
Anti-SOX2 antibody [HL1193] used in Western Blot (WB). GTX636505
Anti-SOX2 antibody [HL1193] used in Western Blot (WB). GTX636505
Anti-SOX2 antibody [HL1193] used in Immunocytochemistry/ Immunofluorescence (ICC/IF). GTX636505
Anti-SOX2 antibody [HL1193] used in IHC (Paraffin sections) (IHC-P). GTX636505
Anti-SOX2 antibody [HL1193] used in Western Blot (WB). GTX636505
  • 宿主
    Rabbit
  • 克隆
    Monoclonal
  • 克隆编号
    HL1193
  • 同种型
    IgG
  • 实验应用
    WB ICC/IF IHC-P IP
  • 种属反应
    Human, Mouse, Rat, Cat
查看所有 SOX2 的产品