Syk抗体 [N2C2], Internal

目录号 GTX100748
目录号  GTX100748
Anti-Syk antibody [N2C2], Internal used in Western Blot (WB). GTX100748
GTX100748 WB Image

Whole cell extract (30 μg) was separated by 7.5% SDS-PAGE, and the membrane was blotted with Syk antibody [N2C2], Internal (GTX100748) diluted at 1:1000. The HRP-conjugated anti-rabbit IgG antibody (GTX213110-01) was used to detect the primary antibody.

1 / 9
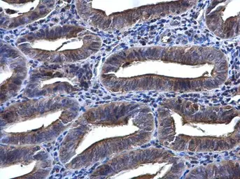
Anti-Syk antibody [N2C2], Internal used in IHC (Paraffin sections) (IHC-P). GTX100748
GTX100748 IHC-P Image

SYK antibody [N2C2], Internal detects SYK protein at cytoplasm in human cervical cancer by immunohistochemical analysis.
Sample: Paraffin-embedded human cervical cancer.
SYK antibody [N2C2], Internal (GTX100748) diluted at 1:500.

Antigen Retrieval: Citrate buffer, pH 6.0, 15 min

2 / 9
Anti-Syk antibody [N2C2], Internal used in Western Blot (WB). GTX100748
GTX100748 WB Image

SYK antibody detects SYK protein by western blot analysis. Mouse tissue extracts (50 μg) was separated by 7.5% SDS-PAGE, and the membrane was blotted with SYK antibody (GTX100748) diluted by 1:1000. The HRP-conjugated anti-rabbit IgG antibody (GTX213110-01) was used to detect the primary antibody.

3 / 9
Anti-Syk antibody [N2C2], Internal used in IHC (Paraffin sections) (IHC-P). GTX100748
GTX100748 IHC-P Image

SYK antibody [N2C2], Internal detects SYK protein at cytosol on rat spleen by immunohistochemical analysis.
Sample: Paraffin-embedded rat spleen.
SYK antibody [N2C2], Internal (GTX100748) dilution: 1:500.

Antigen Retrieval: Trilogy™ (EDTA based, pH 8.0) buffer, 15min

4 / 9
Anti-Syk antibody [N2C2], Internal used in IHC (Paraffin sections) (IHC-P). GTX100748
GTX100748 IHC-P Image

SYK antibody [N2C2], Internal detects SYK protein at cytoplasm in human endometrium by immunohistochemical analysis.
Sample: Paraffin-embedded human endometrium.
SYK antibody [N2C2], Internal (GTX100748) diluted at 1:500.

Antigen Retrieval: Citrate buffer, pH 6.0, 15 min

5 / 9
Anti-Syk antibody [N2C2], Internal used in Immunoprecipitation (IP). GTX100748
GTX100748 IP Image

Immunoprecipitation of SYK protein from A431 whole cell extracts using 5 μg of SYK antibody [N2C2] (GTX100748).
Western blot analysis was performed using SYK antibody [N2C2] (GTX100748).
EasyBlot anti-Rabbit IgG (GTX221666-01) was used as a secondary reagent.

6 / 9
Anti-Syk antibody [N2C2], Internal used in Immunocytochemistry/ Immunofluorescence (ICC/IF). GTX100748
GTX100748 ICC/IF Image

Immunofluorescence analysis of methanol-fixed A431, using SYK(GTX100748) antibody at 1:200 dilution.

7 / 9
Anti-Syk antibody [N2C2], Internal used in Western Blot (WB). GTX100748
GTX100748 WB Image

SYK antibody detects SYK protein by western blot analysis. Whole cell extracts (30 μg) was separated by 7.5% SDS-PAGE, and the membrane was blotted with SYK antibody (GTX100748) at a dilution of 1:2000. The HRP-conjugated anti-rabbit IgG antibody (GTX213110-01) was used to detect the primary antibody.

8 / 9
Anti-Syk antibody [N2C2], Internal used in Western Blot (WB). GTX100748
GTX100748 WB Image

SYK antibody [N2C2], Internal detects SYK protein by western blot analysis.
A. 30 μg mouse BMDM (bone marrow-derived macrophage) cells
B. 30 μg mouse Syk null cells
10% SDS-PAGE
SYK antibody [N2C2], Internal (GTX100748) dilution: 1:1000
The HRP-conjugated anti-rabbit IgG antibody (GTX213110-01) was used to detect the primary antibody.

9 / 9
Anti-Syk antibody [N2C2], Internal used in Western Blot (WB). GTX100748
Anti-Syk antibody [N2C2], Internal used in IHC (Paraffin sections) (IHC-P). GTX100748
Anti-Syk antibody [N2C2], Internal used in Western Blot (WB). GTX100748
Anti-Syk antibody [N2C2], Internal used in IHC (Paraffin sections) (IHC-P). GTX100748
Anti-Syk antibody [N2C2], Internal used in IHC (Paraffin sections) (IHC-P). GTX100748
Anti-Syk antibody [N2C2], Internal used in Immunoprecipitation (IP). GTX100748
Anti-Syk antibody [N2C2], Internal used in Immunocytochemistry/ Immunofluorescence (ICC/IF). GTX100748
Anti-Syk antibody [N2C2], Internal used in Western Blot (WB). GTX100748
Anti-Syk antibody [N2C2], Internal used in Western Blot (WB). GTX100748
  • 宿主
    Rabbit
  • 克隆
    Polyclonal
  • 同种型
    IgG
  • 实验应用
    WB ICC/IF IHC-P IP
  • 种属反应
    Human, Mouse, Rat
查看所有 Syk 的产品