TIGIT抗体 [HL2657]

目录号 GTX639116
目录号  GTX639116
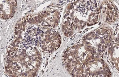
Anti-TIGIT antibody [HL2657] used in IHC (Paraffin sections) (IHC-P). GTX639116
GTX639116 IHC-P Image

TIGIT antibody [HL2657] detects TIGIT protein at cell membrane and cytoplasm by immunohistochemical analysis.
Sample: Paraffin-embedded human breast carcinoma.
TIGIT stained by TIGIT antibody [HL2657] (GTX639116) diluted at 1:100.
Antigen Retrieval: Citrate buffer, pH 6.0, 15 min

1 / 3
Anti-TIGIT antibody [HL2657] used in Western Blot (WB). GTX639116
GTX639116 WB Image

Non-transfected (–) and transfected (+) 293T whole cell extracts (30 μg) were separated by 12% SDS-PAGE, and the membrane was blotted with TIGIT antibody [HL2657] (GTX639116) diluted at 1:30000. The HRP-conjugated anti-rabbit IgG antibody (GTX213110-01) was used to detect the primary antibody.

2 / 3
Anti-TIGIT antibody [HL2657] used in Western Blot (WB). GTX639116
GTX639116 WB Image

Various whole cell extracts (30 μg) were separated by 12% SDS-PAGE, and the membrane was blotted with TIGIT antibody [HL2657] (GTX639116) diluted at 1:1000. The HRP-conjugated anti-rabbit IgG antibody (GTX213110-01) was used to detect the primary antibody, and the signal was developed with Trident ECL plus-Enhanced. Corresponding RNA expression data for the same cell lines are based on Human Protein Atlas program.

3 / 3
Anti-TIGIT antibody [HL2657] used in IHC (Paraffin sections) (IHC-P). GTX639116
Anti-TIGIT antibody [HL2657] used in Western Blot (WB). GTX639116
Anti-TIGIT antibody [HL2657] used in Western Blot (WB). GTX639116
  • 宿主
    Rabbit
  • 克隆
    Monoclonal
  • 克隆编号
    HL2657
  • 同种型
    IgG
  • 实验应用
    WB IHC-P
  • 种属反应
    Human
查看所有 TIGIT 的产品