TIM-3抗体 [IHC003]

目录号 GTX57202
目录号  GTX57202
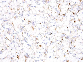
Anti-TIM-3 antibody [IHC003] used in IHC (Paraffin sections) (IHC-P). GTX57202
GTX57202 IHC-P Image

IHC-P analysis of human kidney tissue using GTX57202 TIM-3 antibody [IHC003]

1 / 1
Anti-TIM-3 antibody [IHC003] used in IHC (Paraffin sections) (IHC-P). GTX57202
  • 宿主
    Mouse
  • 克隆
    Monoclonal
  • 克隆编号
    IHC003
  • 同种型
    IgG1
  • 实验应用
    IHC-P
  • 种属反应
    Human
查看所有 TIM-3 的产品