TOMM20抗体 [HL1493]

目录号 GTX636967
目录号  GTX636967
Anti-TOMM20 antibody [HL1493] used in Western Blot (WB). GTX636967
GTX636967 WB Image

Various whole cell extracts (30 μg) were separated by 15% SDS-PAGE, and the membranes were blotted with TOMM20 antibody [HL1493] (GTX636967) diluted at 1:1000 and competitor's antibody (Competitor) diluted at 1:1000. The HRP-conjugated anti-rabbit IgG antibody (GTX213110-01) was used to detect the primary antibody.

*The competitor is not affiliated with GeneTex and does not endorse this product.

1 / 8
Anti-TOMM20 antibody [HL1493] used in Immunocytochemistry/ Immunofluorescence (ICC/IF). GTX636967
GTX636967 ICC/IF Image

TOMM20 antibody [HL1493] detects TOMM20 protein at mitochondria by immunofluorescent analysis.
Sample: HeLa cells were fixed in 4% paraformaldehyde at RT for 15 min.
Green: TOMM20 stained by TOMM20 antibody [HL1493] (GTX636967) diluted at 1:500.
Red: alpha Tubulin, a cytoskeleton marker, stained by alpha Tubulin antibody [GT114] (GTX628802) diluted at 1:1000.
Blue: Fluoroshield with DAPI (GTX30920).

2 / 8
Anti-TOMM20 antibody [HL1493] used in IHC (Paraffin sections) (IHC-P). GTX636967
GTX636967 IHC-P Image

TOMM20 antibody [HL1493] detects TOMM20 protein at mitochondria by immunohistochemical analysis.
Sample: Paraffin-embedded mouse kidney.
TOMM20 stained by TOMM20 antibody [HL1493] (GTX636967) diluted at 1:100.
Antigen Retrieval: Citrate buffer, pH 6.0, 15 min

3 / 8
Anti-TOMM20 antibody [HL1493] used in IHC (Paraffin sections) (IHC-P). GTX636967
GTX636967 IHC-P Image

TOMM20 antibody [HL1493] detects TOMM20 protein at mitochondria by immunohistochemical analysis.
Sample: Paraffin-embedded rat liver.
TOMM20 stained by TOMM20 antibody [HL1493] (GTX636967) diluted at 1:100.
Antigen Retrieval: Citrate buffer, pH 6.0, 15 min

4 / 8
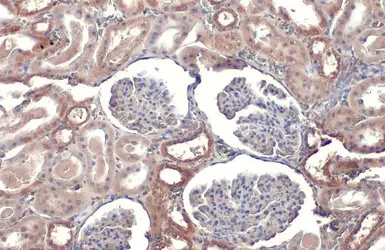
Anti-TOMM20 antibody [HL1493] used in IHC (Paraffin sections) (IHC-P). GTX636967
GTX636967 IHC-P Image

TOMM20 antibody [HL1493] detects TOMM20 protein at cytoplasm by immunohistochemical analysis.
Sample: Paraffin-embedded rat kidney.
TOMM20 stained by TOMM20 antibody [HL1493] (GTX636967) diluted at 1:100.
Antigen Retrieval: Citrate buffer, pH 6.0, 15 min

5 / 8
Anti-TOMM20 antibody [HL1493] used in IHC (Paraffin sections) (IHC-P). GTX636967
GTX636967 IHC-P Image

TOMM20 antibody [HL1493] detects TOMM20 protein by immunohistochemical analysis.
Sample: Paraffin-embedded rat tissue.
TOMM20 stained by TOMM20 antibody [HL1493] (GTX636967) diluted at 1:100.
Antigen Retrieval: Citrate buffer, pH 6.0, 15 min

6 / 8
Anti-TOMM20 antibody [HL1493] used in IHC (Paraffin sections) (IHC-P). GTX636967
GTX636967 IHC-P Image

TOMM20 antibody [HL1493] detects TOMM20 protein by immunohistochemical analysis.
Sample: Paraffin-embedded mouse tissue.
TOMM20 stained by TOMM20 antibody [HL1493] (GTX636967) diluted at 1:100.
Antigen Retrieval: Citrate buffer, pH 6.0, 15 min

7 / 8
Anti-TOMM20 antibody [HL1493] used in Western Blot (WB). GTX636967
GTX636967 WB Image

Various whole cell extracts (30 μg) were separated by 15% SDS-PAGE, and the membrane was blotted with TOMM20 antibody [HL1493] (GTX636967) diluted at 1:1000. The HRP-conjugated anti-rabbit IgG antibody (GTX213110-01) was used to detect the primary antibody.

8 / 8
Anti-TOMM20 antibody [HL1493] used in Western Blot (WB). GTX636967
Anti-TOMM20 antibody [HL1493] used in Immunocytochemistry/ Immunofluorescence (ICC/IF). GTX636967
Anti-TOMM20 antibody [HL1493] used in IHC (Paraffin sections) (IHC-P). GTX636967
Anti-TOMM20 antibody [HL1493] used in IHC (Paraffin sections) (IHC-P). GTX636967
Anti-TOMM20 antibody [HL1493] used in IHC (Paraffin sections) (IHC-P). GTX636967
Anti-TOMM20 antibody [HL1493] used in IHC (Paraffin sections) (IHC-P). GTX636967
Anti-TOMM20 antibody [HL1493] used in IHC (Paraffin sections) (IHC-P). GTX636967
Anti-TOMM20 antibody [HL1493] used in Western Blot (WB). GTX636967
  • 宿主
    Rabbit
  • 克隆
    Monoclonal
  • 克隆编号
    HL1493
  • 同种型
    IgG
  • 实验应用
    WB ICC/IF IHC-P
  • 种属反应
    Human, Mouse, Rat
查看所有 TOMM20 的产品