TXNDC9抗体 [N1C3-2]

目录号 GTX117713
目录号  GTX117713
Anti-TXNDC9 antibody [N1C3-2] used in Western Blot (WB). GTX117713
GTX117713 WB Image

TXNDC9 antibody detects TXNDC9 protein by western blot analysis. Various whole cell extracts (30 μg) were separated by 12% SDS-PAGE, and the membrane was blotted with TXNDC9 antibody (GTX117713) diluted by 1:1000.

1 / 2
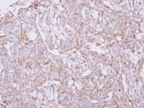
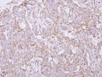
Anti-TXNDC9 antibody [N1C3-2] used in IHC (Paraffin sections) (IHC-P). GTX117713
GTX117713 IHC-P Image

TXNDC9 antibody [N1C3-2] detects TXNDC9 protein at membrane on human breast cancer by immunohistochemical analysis.
Sample: Paraffin-embedded breast cancer.
TXNDC9 antibody [N1C3-2] (GTX117713) dilution: 1:500.

Antigen Retrieval: Trilogy™ (EDTA based, pH 8.0) buffer, 15min

2 / 2
Anti-TXNDC9 antibody [N1C3-2] used in Western Blot (WB). GTX117713
Anti-TXNDC9 antibody [N1C3-2] used in IHC (Paraffin sections) (IHC-P). GTX117713
  • 宿主
    Rabbit
  • 克隆
    Polyclonal
  • 同种型
    IgG
  • 实验应用
    WB IHC-P
  • 种属反应
    Human
查看所有 TXNDC9 的产品