Tau抗体 [HL2736]

目录号 GTX639564
目录号  GTX639564
Anti-Tau antibody [HL2736] used in Western Blot (WB). GTX639564
GTX639564 WB Image

Non-transfected (–) and transfected (+) SK-N-SH whole cell extracts (30 μg) were separated by 7.5% SDS-PAGE, and the membrane was blotted with Tau antibody [HL2736] (GTX639564) diluted at 1:500. The HRP-conjugated anti-rabbit IgG antibody (GTX213110-01) was used to detect the primary antibody, and the signal was developed with Trident ECL plus-Enhanced.

1 / 11
Anti-Tau antibody [HL2736] used in Immunocytochemistry/ Immunofluorescence (ICC/IF). GTX639564
GTX639564 ICC/IF Image

Tau antibody [HL2736] detects Tau protein by immunofluorescent analysis.
Sample: DIV11 rat E18 primary cortical neuron cells were fixed in 4% paraformaldehyde at RT for 15 min.
Green: Tau stained by Tau antibody [HL2736] (GTX639564) diluted at 1:250.
Red: MAP2, a microtubule marker, stained by MAP2 antibody [HM-2] (GTX11267) diluted at 1:500.

2 / 11
Anti-Tau antibody [HL2736] used in Immunocytochemistry/ Immunofluorescence (ICC/IF). GTX639564
GTX639564 ICC/IF Image

Tau antibody [HL2736] detects Tau protein by immunofluorescent analysis.
Sample: DIV11 rat E18 primary cortical neuron cells were fixed in 4% paraformaldehyde at RT for 15 min.
Green: Tau stained by Tau antibody [HL2736] (GTX639564) diluted at 1:250.
Red: MAP2, a microtubule marker, stained by MAP2 antibody [HM-2] (GTX11267) diluted at 1:500.
Blue: Fluoroshield with DAPI (GTX30920).

3 / 11
Anti-Tau antibody [HL2736] used in Western Blot (WB). GTX639564
GTX639564 WB Image

Non-transfected (–) and transfected (+) unboiled 293T whole cell extracts were separated by 10% SDS-PAGE, and the membrane was blotted with Tau antibody [HL2736] (GTX639564) diluted at 1:5000. The HRP-conjugated anti-rabbit IgG antibody (GTX213110-01) was used to detect the primary antibody.

4 / 11
Anti-Tau antibody [HL2736] used in IHC (Frozen sections) (IHC-Fr). GTX639564
GTX639564 IHC-Fr Image

Tau antibody [HL2736] detects Tau protein by immunohistochemical analysis.
Sample: Frozen-sectioned mouse eye.
Green: Tau stained by Tau antibody [HL2736] (GTX639564) diluted at 1:250.
Blue: Hoechst 33342 staining.

5 / 11
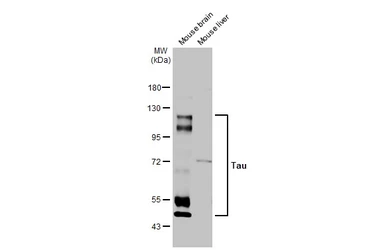
Anti-Tau antibody [HL2736] used in Western Blot (WB). GTX639564
GTX639564 WB Image

Various tissue extracts (50 μg) were separated by 7.5% SDS-PAGE, and the membrane was blotted with Tau antibody [HL2736] (GTX639564) diluted at 1:1000. The HRP-conjugated anti-rabbit IgG antibody (GTX213110-01) was used to detect the primary antibody. Corresponding RNA expression data are based on NCBI database.

6 / 11
Anti-Tau antibody [HL2736] used in Western Blot (WB). GTX639564
GTX639564 WB Image

Various whole cell extracts (30 μg) were separated by 7.5% SDS-PAGE, and the membrane was blotted with Tau antibody [HL2736] (GTX639564) diluted at 1:1000. The HRP-conjugated anti-rabbit IgG antibody (GTX213110-01) was used to detect the primary antibody. Corresponding RNA expression data for the same cell lines are based on Human Protein Atlas program.

7 / 11
Anti-Tau antibody [HL2736] used in Western Blot (WB). GTX639564
GTX639564 WB Image

Untreated (–) and treated (+) SK-N-SH whole cell extract (30 μg) were separated by 7.5% SDS-PAGE, and the membrane was blotted with Tau antibody [HL2736] (GTX639564) diluted at 1:500. The HRP-conjugated anti-rabbit IgG antibody (GTX213110-01) was used to detect the primary antibody.

8 / 11
Anti-Tau antibody [HL2736] used in Western Blot (WB). GTX639564
GTX639564 WB Image

Rat tissue extract (50 μg) was separated by 7.5% SDS-PAGE, and the membrane was blotted with Tau antibody [HL2736] (GTX639564) diluted at 1:1000. The HRP-conjugated anti-rabbit IgG antibody (GTX213110-01) was used to detect the primary antibody.

9 / 11
Anti-Tau antibody [HL2736] used in Western Blot (WB). GTX639564
GTX639564 WB Image

Various tissue extracts (50 μg) were separated by 7.5% SDS-PAGE, and the membrane was blotted with Tau antibody [HL2736] (GTX639564) diluted at 1:1000. The HRP-conjugated anti-rabbit IgG antibody (GTX213110-01) was used to detect the primary antibody.

10 / 11
Anti-Tau antibody [HL2736] used in Western Blot (WB). GTX639564
GTX639564 WB Image

Untreated (–) and treated (+) mouse tissue extract (50 μg) were separated by 7.5% SDS-PAGE, and the membrane was blotted with Tau antibody [HL2736] (GTX639564) diluted at 1:1000. The HRP-conjugated anti-rabbit IgG antibody (GTX213110-01) was used to detect the primary antibody.

11 / 11
Anti-Tau antibody [HL2736] used in Western Blot (WB). GTX639564
Anti-Tau antibody [HL2736] used in Immunocytochemistry/ Immunofluorescence (ICC/IF). GTX639564
Anti-Tau antibody [HL2736] used in Immunocytochemistry/ Immunofluorescence (ICC/IF). GTX639564
Anti-Tau antibody [HL2736] used in Western Blot (WB). GTX639564
Anti-Tau antibody [HL2736] used in IHC (Frozen sections) (IHC-Fr). GTX639564
Anti-Tau antibody [HL2736] used in Western Blot (WB). GTX639564
Anti-Tau antibody [HL2736] used in Western Blot (WB). GTX639564
Anti-Tau antibody [HL2736] used in Western Blot (WB). GTX639564
Anti-Tau antibody [HL2736] used in Western Blot (WB). GTX639564
Anti-Tau antibody [HL2736] used in Western Blot (WB). GTX639564
Anti-Tau antibody [HL2736] used in Western Blot (WB). GTX639564
  • 宿主
    Rabbit
  • 克隆
    Monoclonal
  • 克隆编号
    HL2736
  • 同种型
    IgG
  • 实验应用
    WB ICC/IF IHC-Fr
  • 种属反应
    Human, Mouse, Rat
查看所有 Tau 的产品