Tryptophanyl tRNA synthetase抗体

目录号 GTX110223
目录号  GTX110223
Anti-Tryptophanyl tRNA synthetase antibody used in Western Blot (WB). GTX110223
GTX110223 WB Image

Non-transfected (–) and transfected (+) 293T whole cell extracts (30 μg) were separated by 10% SDS-PAGE, and the membrane was blotted with Tryptophanyl tRNA synthetase antibody (GTX110223) diluted at 1:1000. The HRP-conjugated anti-rabbit IgG antibody (GTX213110-01) was used to detect the primary antibody, and the signal was developed with Trident ECL plus-Enhanced.

1 / 5
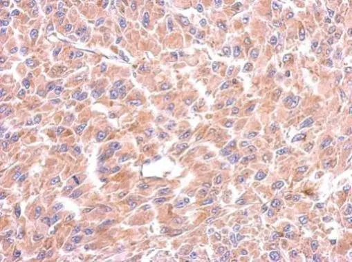
Anti-Tryptophanyl tRNA synthetase antibody used in IHC (Paraffin sections) (IHC-P). GTX110223
GTX110223 IHC-P Image

Immunohistochemical analysis of paraffin-embedded U87 xenograft, using Tryptophanyl tRNA synthetase(GTX110223) antibody at 1:500 dilution.
Antigen Retrieval: Trilogy™ (EDTA based, pH 8.0) buffer, 15min

2 / 5
Anti-Tryptophanyl tRNA synthetase antibody used in Western Blot (WB). GTX110223
GTX110223 WB Image

Sample (50 ug of whole cell lysate)
A: Mouse brain
10% SDS PAGE
GTX110223 diluted at 1:1000

3 / 5
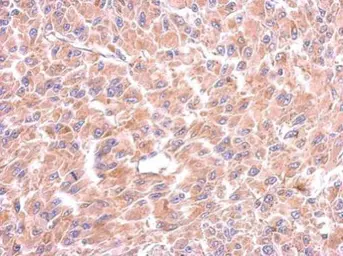
Anti-Tryptophanyl tRNA synthetase antibody used in IHC (Paraffin sections) (IHC-P). GTX110223
GTX110223 IHC-P Image

Tryptophanyl tRNA synthetase antibody detects Tryptophanyl tRNA synthetase protein at cytosol on mouse prostate by immunohistochemical analysis.
Sample: Paraffin-embedded mouse prostate.
Tryptophanyl tRNA synthetase antibody (GTX110223) dilution: 1:500.

Antigen Retrieval: Trilogy™ (EDTA based, pH 8.0) buffer, 15min

4 / 5
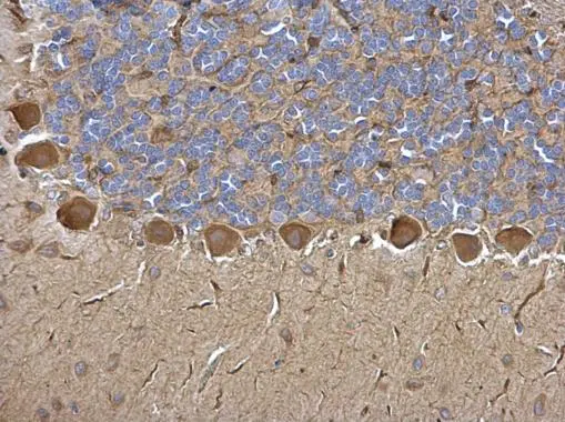
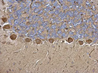
Anti-Tryptophanyl tRNA synthetase antibody used in IHC (Paraffin sections) (IHC-P). GTX110223
GTX110223 IHC-P Image

Tryptophanyl tRNA synthetase antibody detects Tryptophanyl tRNA synthetase protein at cytosol on rat hind brain by immunohistochemical analysis.
Sample: Paraffin-embedded rat hind brain.
Tryptophanyl tRNA synthetase antibody (GTX110223) dilution: 1:500.

Antigen Retrieval: Trilogy™ (EDTA based, pH 8.0) buffer, 15min

5 / 5
Anti-Tryptophanyl tRNA synthetase antibody used in Western Blot (WB). GTX110223
Anti-Tryptophanyl tRNA synthetase antibody used in IHC (Paraffin sections) (IHC-P). GTX110223
Anti-Tryptophanyl tRNA synthetase antibody used in Western Blot (WB). GTX110223
Anti-Tryptophanyl tRNA synthetase antibody used in IHC (Paraffin sections) (IHC-P). GTX110223
Anti-Tryptophanyl tRNA synthetase antibody used in IHC (Paraffin sections) (IHC-P). GTX110223
  • 宿主
    Rabbit
  • 克隆
    Polyclonal
  • 同种型
    IgG
  • 实验应用
    WB IHC-P
  • 种属反应
    Human, Mouse, Rat
查看所有 Tryptophanyl tRNA synthetase 的产品