UGDH抗体

目录号 GTX104993
目录号  GTX104993
Anti-UGDH antibody used in Western Blot (WB). GTX104993
GTX104993 WB Image

Various whole cell extracts (30 μg) were separated by 10% SDS-PAGE, and the membrane was blotted with UGDH antibody (GTX104993) diluted at 1:10000. The HRP-conjugated anti-rabbit IgG antibody (GTX213110-01) was used to detect the primary antibody. Corresponding RNA expression data for the same cell lines are based on Human Protein Atlas program.

1 / 6
Anti-UGDH antibody used in Western Blot (WB). GTX104993
GTX104993 WB Image

Non-transfected (–) and transfected (+) 293T whole cell extracts (30 μg) were separated by 10% SDS-PAGE, and the membrane was blotted with UGDH antibody (GTX104993) diluted at 1:5000. The HRP-conjugated anti-rabbit IgG antibody (GTX213110-01) was used to detect the primary antibody.

2 / 6
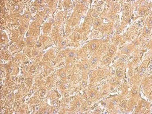
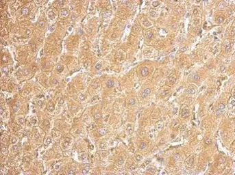
Anti-UGDH antibody used in IHC (Paraffin sections) (IHC-P). GTX104993
GTX104993 IHC-P Image

UGDH antibody detects UGDH protein at cytosol on human hepatoma by immunohistochemical analysis.
Sample: Paraffin-embedded hepatoma tissue.
UGDH antibody (GTX104993) dilution: 1:500.

Antigen Retrieval: Trilogy™ (EDTA based, pH 8.0) buffer, 15min

3 / 6
Anti-UGDH antibody used in Immunocytochemistry/ Immunofluorescence (ICC/IF). GTX104993
GTX104993 ICC/IF Image

UGDH antibody detects UGDH protein at nucleus by immunofluorescent analysis.
Sample: HeLa cells were fixed in 4% paraformaldehyde at RT for 15 min.
Green: UGDH stained by UGDH antibody (GTX104993) diluted at 1:500.

4 / 6
Anti-UGDH antibody used in Western Blot (WB). GTX104993
GTX104993 WB Image

UGDH antibody detects UGDH protein by Western blot analysis.
A. 50 μg Rat liver lysate/extract
7.5 % SDS-PAGE
UGDH antibody (GTX104993) dilution: 1:2000

5 / 6
Anti-UGDH antibody used in Western Blot (WB). GTX104993
GTX104993 WB Image

Sample (50 ug of whole cell lysate)
A: mouse liver
7.5% SDS PAGE
GTX104993 diluted at 1:10000

6 / 6
Anti-UGDH antibody used in Western Blot (WB). GTX104993
Anti-UGDH antibody used in Western Blot (WB). GTX104993
Anti-UGDH antibody used in IHC (Paraffin sections) (IHC-P). GTX104993
Anti-UGDH antibody used in Immunocytochemistry/ Immunofluorescence (ICC/IF). GTX104993
Anti-UGDH antibody used in Western Blot (WB). GTX104993
Anti-UGDH antibody used in Western Blot (WB). GTX104993
  • 宿主
    Rabbit
  • 克隆
    Polyclonal
  • 同种型
    IgG
  • 实验应用
    WB ICC/IF IHC-P
  • 种属反应
    Human, Mouse, Rat
查看所有 UGDH 的产品