UHRF1抗体

目录号 GTX113963
目录号  GTX113963
Anti-UHRF1 antibody used in Immunoprecipitation (IP). GTX113963
GTX113963 IP Image

UHRF1 antibody immunoprecipitates UHRF1 protein in IP experiments. IP Sample: HeLa whole cell lysate/extract A. 40 μg HeLa whole cell lysate/extract B. Control with 2 μg of preimmune rabbit IgG C. Immunoprecipitation of UHRF1 protein by 2 μg of UHRF1 antibody (GTX113963) 5% SDS-PAGE The immunoprecipitated UHRF1 protein was detected by UHRF1 antibody (GTX113963) diluted at 1:1000. EasyBlot anti-rabbit IgG (GTX221666-01) was used as a secondary reagent.

1 / 11
Anti-UHRF1 antibody used in Western Blot (WB). GTX113963
GTX113963 WB Image

Non-transfected (–) and transfected (+) HeLa whole cell extracts (50 μg) were separated by 7.5% SDS-PAGE, and the membrane was blotted with UHRF1 antibody (GTX113963) diluted at 1:500. The HRP-conjugated anti-rabbit IgG antibody (GTX213110-01) was used to detect the primary antibody.

2 / 11
Anti-UHRF1 antibody used in Western Blot (WB). GTX113963
GTX113963 WB Image

Various whole cell extracts (30 μg) were separated by 7.5% SDS-PAGE, and the membrane was blotted with UHRF1 antibody (GTX113963) diluted at 1:1000. The HRP-conjugated anti-rabbit IgG antibody (GTX213110-01) was used to detect the primary antibody. Corresponding RNA expression data for the same cell lines are based on Human Protein Atlas program.

3 / 11
Anti-UHRF1 antibody used in Immunocytochemistry/ Immunofluorescence (ICC/IF). GTX113963
GTX113963 ICC/IF Image

UHRF1 antibody detects UHRF1 protein at cytoplasm and nucleus by immunofluorescent analysis.
Sample: A549 cells were fixed in 4% paraformaldehyde at RT for 15 min.
Green: UHRF1 stained by UHRF1 antibody (GTX113963) diluted at 1:1000.
Red: alpha Tubulin, a cytoskeleton marker, stained by alpha Tubulin antibody [GT114] (GTX628802) diluted at 1:1000.

4 / 11
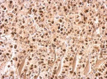
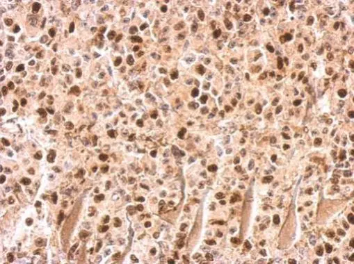
Anti-UHRF1 antibody used in IHC (Paraffin sections) (IHC-P). GTX113963
GTX113963 IHC-P Image

UHRF1 antibody detects UHRF1 protein at on HBL435 xenograft by immunohistochemical analysis.
Sample: Paraffin-embedded HBL435 xenograft.
UHRF1 antibody (GTX113963) dilution: 1:500.

Antigen Retrieval: Trilogy™ (EDTA based, pH 8.0) buffer, 15min

5 / 11
Anti-UHRF1 antibody used in Immunocytochemistry/ Immunofluorescence (ICC/IF). GTX113963
GTX113963 ICC/IF Image

Confocal immunofluorescence analysis (Olympus FV10i) of paraformaldehyde-fixed HeLa, using UHRF1(GTX113963) antibody (Green) at 1:500 dilution. Alpha-tubulin filaments were labeled with GTX11304 (Red) at 1:2000.

6 / 11
Anti-UHRF1 antibody used in ChIP assay (ChIP assay). GTX113963
GTX113963 ChIP assay Image

Cross-linked ChIP was performed with HCT116 chromatin extract and 5 μg of either control rabbit IgG or anti-UHRF1 antibody. The precipitated DNA was detected by PCR with primer set targeting to PPARG promoter.

7 / 11
Anti-UHRF1 antibody used in Immunoprecipitation (IP). GTX113963
GTX113963 IP Image

Immunoprecipitation of UHRF1 protein from HeLa whole cell extract using 5 μg of UHRF1 antibody (GTX113963).
Western blot analysis was performed using UHRF1 antibody (GTX113963).
EasyBlot HRP-conjugated anti rabbit IgG antibody (GTX221666-01).

8 / 11
Anti-UHRF1 antibody used in Western Blot (WB). GTX113963
GTX113963 WB Image

The data was published in the journal Nucleic Acids Res in 2015. PMID: 25765655

9 / 11
Anti-UHRF1 antibody used in Western Blot (WB). GTX113963
GTX113963 WB Image

The data was published in the journal Nucleic Acids Res in 2015. PMID: 25765655

10 / 11
Anti-UHRF1 antibody used in Western Blot (WB). GTX113963
GTX113963 WB Image

The data was published in the journal Nucleic Acids Res in 2015. PMID: 25765655

11 / 11
Anti-UHRF1 antibody used in Immunoprecipitation (IP). GTX113963
Anti-UHRF1 antibody used in Western Blot (WB). GTX113963
Anti-UHRF1 antibody used in Western Blot (WB). GTX113963
Anti-UHRF1 antibody used in Immunocytochemistry/ Immunofluorescence (ICC/IF). GTX113963
Anti-UHRF1 antibody used in IHC (Paraffin sections) (IHC-P). GTX113963
Anti-UHRF1 antibody used in Immunocytochemistry/ Immunofluorescence (ICC/IF). GTX113963
Anti-UHRF1 antibody used in ChIP assay (ChIP assay). GTX113963
Anti-UHRF1 antibody used in Immunoprecipitation (IP). GTX113963
Anti-UHRF1 antibody used in Western Blot (WB). GTX113963
Anti-UHRF1 antibody used in Western Blot (WB). GTX113963
Anti-UHRF1 antibody used in Western Blot (WB). GTX113963
  • 宿主
    Rabbit
  • 克隆
    Polyclonal
  • 同种型
    IgG
  • 实验应用
    WB ICC/IF IHC-P IP ChIP assay
  • 种属反应
    Human
查看所有 UHRF1 的产品