VDAC3抗体, N-term

目录号 GTX47681
目录号  GTX47681
Anti-VDAC3 antibody, N-term used in Western Blot (WB). GTX47681
GTX47681 WB Image

WB analysis of human fetal heart tissue using GTX47681 VDAC3 antibody at 0.2-1μg/ml.

1 / 5
Anti-VDAC3 antibody, N-term used in Western Blot (WB). GTX47681
GTX47681 WB Image

WB analysis of human fetal heart tissue using GTX47681 VDAC3 antibody at 1μg/ml.

2 / 5
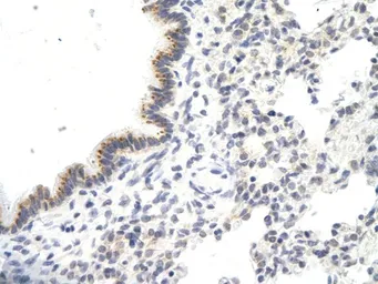
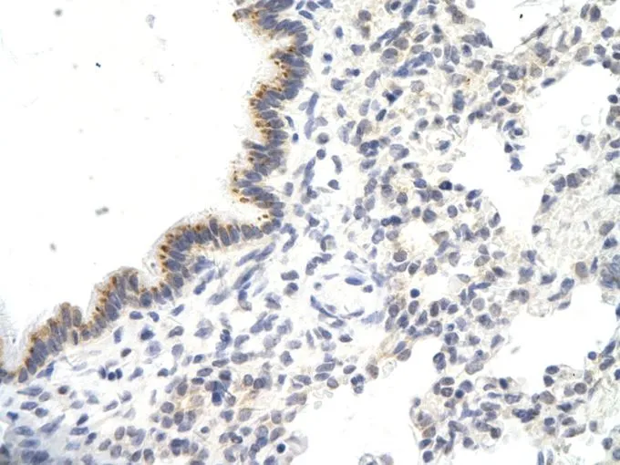
Anti-VDAC3 antibody, N-term used in IHC (Paraffin sections) (IHC-P). GTX47681
GTX47681 IHC-P Image

IHC-P analysis of human lung tissue using GTX47681 VDAC3 antibody at 4.0-8.0μg/ml.

3 / 5
Anti-VDAC3 antibody, N-term used in Western Blot (WB). GTX47681
GTX47681 WB Image

WB analysis of human B lymphoblast cells using GTX47681 VDAC3 antibody at 1μg/ml.

4 / 5
Anti-VDAC3 antibody, N-term used in Western Blot (WB). GTX47681
GTX47681 WB Image

WB analysis of human fetal muscle tissue using GTX47681 VDAC3 antibody at 1μg/ml.

5 / 5
Anti-VDAC3 antibody, N-term used in Western Blot (WB). GTX47681
Anti-VDAC3 antibody, N-term used in Western Blot (WB). GTX47681
Anti-VDAC3 antibody, N-term used in IHC (Paraffin sections) (IHC-P). GTX47681
Anti-VDAC3 antibody, N-term used in Western Blot (WB). GTX47681
Anti-VDAC3 antibody, N-term used in Western Blot (WB). GTX47681
  • 宿主
    Rabbit
  • 克隆
    Polyclonal
  • 同种型
    IgG
  • 实验应用
    WB IHC-P
  • 种属反应
    Human
查看所有 VDAC3 的产品