VPS34抗体

目录号 GTX25451
目录号  GTX25451
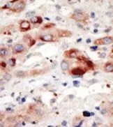
Anti-VPS34 antibody used in IHC (Paraffin sections) (IHC-P). GTX25451
GTX25451 IHC-P Image

IHC-P analysis of human hepatocarcinoma using GTX25451 VPS34 antibody.

1 / 3
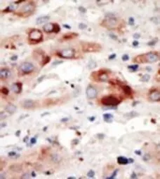
Anti-VPS34 antibody used in Immunocytochemistry/ Immunofluorescence (ICC/IF). GTX25451
GTX25451 ICC/IF Image

ICC/IF analysis of HeLa cells using GTX25451 VPS34 antibody.
Green : VPS34
Blue : DAPI

2 / 3
Anti-VPS34 antibody used in Western Blot (WB). GTX25451
GTX25451 WB Image

WB analysis of HeLa, SH-SY5Y cell using GTX25451 VPS34 antibody.
Loading : 20ug per lane
Dilution : 1:1000

3 / 3
Anti-VPS34 antibody used in IHC (Paraffin sections) (IHC-P). GTX25451
Anti-VPS34 antibody used in Immunocytochemistry/ Immunofluorescence (ICC/IF). GTX25451
Anti-VPS34 antibody used in Western Blot (WB). GTX25451
  • 宿主
    Rabbit
  • 克隆
    Polyclonal
  • 同种型
    IgG
  • 实验应用
    WB ICC/IF IHC-P
  • 种属反应
    Human
查看所有 VPS34 的产品