Villin抗体

目录号 GTX109940
目录号  GTX109940
Anti-Villin antibody used in Western Blot (WB). GTX109940
GTX109940 WB Image

Whole cell extract (30 μg) was separated by 7.5% SDS-PAGE, and the membranes were blotted with Villin antibody (GTX109940) diluted at 1:5000 and competitor's antibody (sc-7672) diluted at 1:100. The HRP-conjugated anti-rabbit IgG antibody (GTX213110-01) was used to detect the primary antibody.

1 / 16
Anti-Villin antibody used in Western Blot (WB). GTX109940
GTX109940 WB Image

Various whole cell extracts (30 μg) were separated by 7.5% SDS-PAGE, and the membrane was blotted with Villin antibody (GTX109940) diluted at 1:2000. The HRP-conjugated anti-rabbit IgG antibody (GTX213110-01) was used to detect the primary antibody. Corresponding RNA expression data for the same cell lines are based on Human Protein Atlas program.

2 / 16
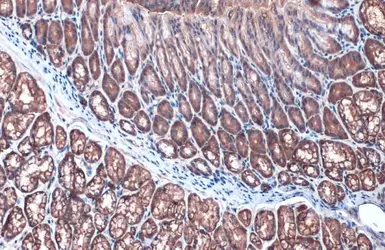
Anti-Villin antibody used in IHC (Paraffin sections) (IHC-P). GTX109940
GTX109940 IHC-P Image

Villin antibody detects Villin protein at cytoplasm by immunohistochemical analysis.
Sample: Paraffin-embedded mouse duodenum.
Villin stained by Villin antibody (GTX109940) diluted at 1:500.
Antigen Retrieval: Citrate buffer, pH 6.0, 15 min

3 / 16
Anti-Villin antibody used in IHC (Paraffin sections) (IHC-P). GTX109940
GTX109940 IHC-P Image

Villin antibody detects Villin protein at cytoplasm by immunohistochemical analysis.
Sample: Paraffin-embedded mouse kidney.
Villin stained by Villin antibody (GTX109940) diluted at 1:500.
Antigen Retrieval: Citrate buffer, pH 6.0, 15 min

4 / 16
Anti-Villin antibody used in IHC (Paraffin sections) (IHC-P). GTX109940
GTX109940 IHC-P Image

Villin antibody detects Villin protein at cytoplasm by immunohistochemical analysis.
Sample: Paraffin-embedded rat colon.
Villin stained by Villin antibody (GTX109940) diluted at 1:500.
Antigen Retrieval: Citrate buffer, pH 6.0, 15 min

5 / 16
Anti-Villin antibody used in Immunocytochemistry/ Immunofluorescence (ICC/IF). GTX109940
GTX109940 ICC/IF Image

Confocal immunofluorescence analysis (Olympus FV10i) of methanol-fixed HeLa, using Villin(GTX109940) antibody (Green) at 1:500 dilution. Alpha-tubulin filaments were labeled with GTX11304 (Red) at 1:2000.

6 / 16
Anti-Villin antibody used in IHC (Paraffin sections) (IHC-P). GTX109940
GTX109940 IHC-P Image

Villin antibody detects Villin protein at cytoplasm by immunohistochemical analysis.
Sample: Paraffin-embedded rat kidney.
Villin stained by Villin antibody (GTX109940) diluted at 1:500.
Antigen Retrieval: Citrate buffer, pH 6.0, 15 min

7 / 16
Anti-Villin antibody used in Western Blot (WB). GTX109940
GTX109940 WB Image

Villin antibody detects VIL1 protein by western blot analysis.
A. 50 μg rat kidney lysate/extract
7.5% SDS-PAGE
Villin antibody (GTX109940) dilution: 1:2000
The HRP-conjugated anti-rabbit IgG antibody (GTX213110-01) was used to detect the primary antibody.

8 / 16
Anti-Villin antibody used in Western Blot (WB). GTX109940
GTX109940 WB Image

Mouse tissue extract (50 μg) was separated by 7.5% SDS-PAGE, and the membrane was blotted with Villin antibody (GTX109940) diluted at 1:1000. The HRP-conjugated anti-rabbit IgG antibody (GTX213110-01) was used to detect the primary antibody.

9 / 16
Anti-Villin antibody used in IHC (Paraffin sections) (IHC-P). GTX109940
GTX109940 IHC-P Image

Villin antibody detects Villin protein at cytoplasm by immunohistochemical analysis.
Sample: Paraffin-embedded mouse duodenum.
Villin stained by Villin antibody (GTX109940) diluted at 1:500.
Antigen Retrieval: Citrate buffer, pH 6.0, 15 min

10 / 16
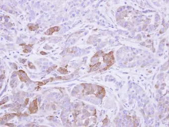
Anti-Villin antibody used in IHC (Paraffin sections) (IHC-P). GTX109940
GTX109940 IHC-P Image

Immunohistochemical analysis of paraffin-embedded A549 xenograft, using Villin (GTX109940) antibody at 1:500 dilution.
Antigen Retrieval: Trilogy™ (EDTA based, pH 8.0) buffer, 15min

11 / 16
Anti-Villin antibody used in Western Blot (WB). GTX109940
GTX109940 WB Image

Various whole cell extracts (30 μg) were separated by 7.5% SDS-PAGE, and the membrane was blotted with Villin antibody (GTX109940) diluted at 1:500. The HRP-conjugated anti-rabbit IgG antibody (GTX213110-01) was used to detect the primary antibody.

12 / 16
Anti-Villin antibody used in IHC (Paraffin sections) (IHC-P). GTX109940
GTX109940 IHC-P Image

Villin antibody detects VIL1 protein at cell membrane by immunohistochemical analysis.
Sample: Paraffin-embedded cat colon.
VIL1 stained by Villin antibody (GTX109940) diluted at 1:500.
Antigen Retrieval: Citrate buffer, pH 6.0, 15 min

13 / 16
Anti-Villin antibody used in IHC (Paraffin sections) (IHC-P). GTX109940
GTX109940 IHC-P Image

Villin antibody detects VIL1 protein at cell membrane by immunohistochemical analysis.
Sample: Paraffin-embedded dog colon.
VIL1 stained by Villin antibody (GTX109940) diluted at 1:500.
Antigen Retrieval: Citrate buffer, pH 6.0, 15 min

14 / 16
Anti-Villin antibody used in IHC (Paraffin sections) (IHC-P). GTX109940
GTX109940 IHC-P Image

Villin antibody detects VIL1 protein at cell membrane by immunohistochemical analysis.
Sample: Paraffin-embedded dog intestine.
VIL1 stained by Villin antibody (GTX109940) diluted at 1:500.
Antigen Retrieval: Citrate buffer, pH 6.0, 15 min

15 / 16
Anti-Villin antibody used in IHC (Frozen sections) (IHC-Fr). GTX109940
GTX109940 IHC-Fr Image

The data was published in the journal Nat Commun in 2019. PMID: 31676794

16 / 16
Anti-Villin antibody used in Western Blot (WB). GTX109940
Anti-Villin antibody used in Western Blot (WB). GTX109940
Anti-Villin antibody used in IHC (Paraffin sections) (IHC-P). GTX109940
Anti-Villin antibody used in IHC (Paraffin sections) (IHC-P). GTX109940
Anti-Villin antibody used in IHC (Paraffin sections) (IHC-P). GTX109940
Anti-Villin antibody used in Immunocytochemistry/ Immunofluorescence (ICC/IF). GTX109940
Anti-Villin antibody used in IHC (Paraffin sections) (IHC-P). GTX109940
Anti-Villin antibody used in Western Blot (WB). GTX109940
Anti-Villin antibody used in Western Blot (WB). GTX109940
Anti-Villin antibody used in IHC (Paraffin sections) (IHC-P). GTX109940
Anti-Villin antibody used in IHC (Paraffin sections) (IHC-P). GTX109940
Anti-Villin antibody used in Western Blot (WB). GTX109940
Anti-Villin antibody used in IHC (Paraffin sections) (IHC-P). GTX109940
Anti-Villin antibody used in IHC (Paraffin sections) (IHC-P). GTX109940
Anti-Villin antibody used in IHC (Paraffin sections) (IHC-P). GTX109940
Anti-Villin antibody used in IHC (Frozen sections) (IHC-Fr). GTX109940
  • 宿主
    Rabbit
  • 克隆
    Polyclonal
  • 同种型
    IgG
  • 实验应用
    WB ICC/IF IHC-P IHC-Fr
  • 种属反应
    Human, Mouse, Rat, Cat, Dog
查看所有 Villin 的产品