WBP11抗体

目录号 GTX118654
目录号  GTX118654
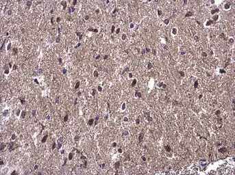
Anti-WBP11 antibody used in IHC (Paraffin sections) (IHC-P). GTX118654
GTX118654 IHC-P Image

WBP11 antibody detects WBP11 protein at cytoplasm and nucleus on mouse brain by immunohistochemical analysis.
Sample: Paraffin-embedded mouse brain.
WBP11 antibody (GTX118654) diluted at 1:500.

Antigen Retrieval: Trilogy™ (EDTA based, pH 8.0) buffer, 15min

1 / 6
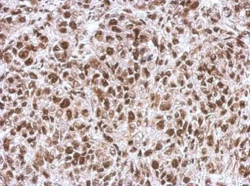
Anti-WBP11 antibody used in IHC (Paraffin sections) (IHC-P). GTX118654
GTX118654 IHC-P Image

Immunohistochemical analysis of paraffin-embedded SkHep1 xenograft, using WBP11(GTX118654) antibody at 1:500 dilution.
Antigen Retrieval: Trilogy™ (EDTA based, pH 8.0) buffer, 15min

2 / 6
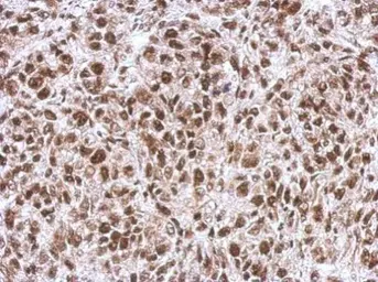
Anti-WBP11 antibody used in IHC (Paraffin sections) (IHC-P). GTX118654
GTX118654 IHC-P Image

WBP11 antibody detects WBP11 protein at nucleus in rat adrenal by immunohistochemical analysis.
Sample: Paraffin-embedded rat adrenal.
WBP11 antibody (GTX118654) diluted at 1:500.

Antigen Retrieval: Citrate buffer, pH 6.0, 15 min

3 / 6
Anti-WBP11 antibody used in IHC (Paraffin sections) (IHC-P). GTX118654
GTX118654 IHC-P Image

WBP11 antibody detects WBP11 protein at nucleus in rat brain by immunohistochemical analysis.
Sample: Paraffin-embedded rat brain.
WBP11 antibody (GTX118654) diluted at 1:500.

Antigen Retrieval: Citrate buffer, pH 6.0, 15 min

4 / 6
Anti-WBP11 antibody used in Western Blot (WB). GTX118654
GTX118654 WB Image

Various whole cell extracts (30 μg) were separated by 5% SDS-PAGE, and the membrane was blotted with WBP11 antibody (GTX118654) diluted at 1:5000. The HRP-conjugated anti-rabbit IgG antibody (GTX213110-01) was used to detect the primary antibody.

5 / 6
Anti-WBP11 antibody used in Immunoprecipitation (IP). GTX118654
GTX118654 IP Image

WBP11 antibody immunoprecipitates WBP11 protein in IP experiments.
IP samples: Jurkat whole cell extract
A. Control with 4 μg of preimmune Rabbit IgG
B. Immunoprecipitation of WBP11 protein by 4 μg WBP11 antibody (GTX118654)
7.5 % SDS-PAGE
The immunoprecipitated WBP11 protein was detected by WBP11 antibody (GTX118654) diluted at 1:1000.
[EasyBlot anti-rabbit IgG (GTX221666-01) was used as a secondary reagent]

6 / 6
Anti-WBP11 antibody used in IHC (Paraffin sections) (IHC-P). GTX118654
Anti-WBP11 antibody used in IHC (Paraffin sections) (IHC-P). GTX118654
Anti-WBP11 antibody used in IHC (Paraffin sections) (IHC-P). GTX118654
Anti-WBP11 antibody used in IHC (Paraffin sections) (IHC-P). GTX118654
Anti-WBP11 antibody used in Western Blot (WB). GTX118654
Anti-WBP11 antibody used in Immunoprecipitation (IP). GTX118654
  • 宿主
    Rabbit
  • 克隆
    Polyclonal
  • 同种型
    IgG
  • 实验应用
    WB IHC-P IP
  • 种属反应
    Human, Mouse, Rat
查看所有 WBP11 的产品