Wilms Tumor 1抗体 [WT49]

目录号 GTX01958
目录号  GTX01958
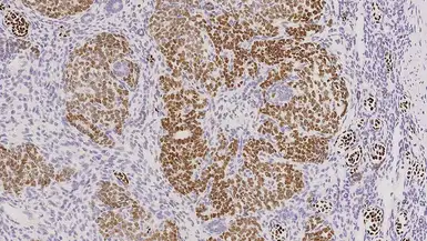
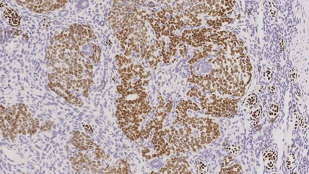
Anti-Wilms Tumor 1 antibody [WT49] used in IHC (Paraffin sections) (IHC-P). GTX01958
GTX01958 IHC-P Image

IHC-P analysis of human kidney tissue using GTX01958 Wilms Tumor 1 antibody [WT49]. Note the nuclear staining of invasive tumor cells.

1 / 1
Anti-Wilms Tumor 1 antibody [WT49] used in IHC (Paraffin sections) (IHC-P). GTX01958
  • 宿主
    Mouse
  • 克隆
    Monoclonal
  • 克隆编号
    WT49
  • 同种型
    IgG1
  • 实验应用
    IHC-P
  • 种属反应
    Human
查看所有 Wilms Tumor 1 的产品