XPC抗体 [HL2894]

目录号 GTX640231
目录号  GTX640231
Anti-XPC antibody [HL2894] used in Western Blot (WB). GTX640231
GTX640231 WB Image

Various whole cell extracts (30 μg) were separated by 7.5% SDS-PAGE, and the membrane was blotted with XPC antibody [HL2894] (GTX640231) diluted at 1:1000. The HRP-conjugated anti-rabbit IgG antibody (GTX213110-01) was used to detect the primary antibody. Corresponding RNA expression data for the same cell lines are based on Human Protein Atlas program.

1 / 3
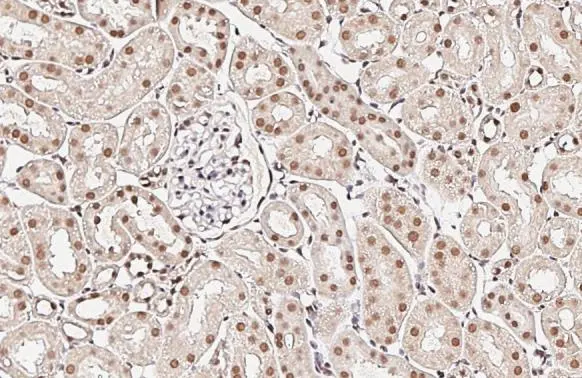
Anti-XPC antibody [HL2894] used in IHC (Paraffin sections) (IHC-P). GTX640231
GTX640231 IHC-P Image

XPC antibody [HL2894] detects XPC protein by immunohistochemical analysis.
Sample: Paraffin-embedded rat kidney.
XPC stained by XPC antibody [HL2894] (GTX640231) diluted at 1:100.
Antigen Retrieval: Citrate buffer, pH 6.0, 15 min

2 / 3
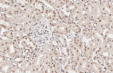
Anti-XPC antibody [HL2894] used in IHC (Paraffin sections) (IHC-P). GTX640231
GTX640231 IHC-P Image

XPC antibody [HL2894] detects XPC protein by immunohistochemical analysis.
Sample: Paraffin-embedded mouse kidney.
XPC stained by XPC antibody [HL2894] (GTX640231) diluted at 1:100.
Antigen Retrieval: Citrate buffer, pH 6.0, 15 min

3 / 3
Anti-XPC antibody [HL2894] used in Western Blot (WB). GTX640231
Anti-XPC antibody [HL2894] used in IHC (Paraffin sections) (IHC-P). GTX640231
Anti-XPC antibody [HL2894] used in IHC (Paraffin sections) (IHC-P). GTX640231
  • 宿主
    Rabbit
  • 克隆
    Monoclonal
  • 克隆编号
    HL2894
  • 同种型
    IgG
  • 实验应用
    WB IHC-P
  • 种属反应
    Human, Mouse, Rat
查看所有 XPC 的产品