alpha Actinin抗体 [7A4]

目录号 GTX84959
目录号  GTX84959
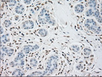
Anti-alpha Actinin antibody [7A4] used in IHC (Paraffin sections) (IHC-P). GTX84959
GTX84959 IHC-P Image

IHC-P analysis of human ovary tissue using GTX84959 alpha Actinin antibody [7A4].
Antigen retrieval : Heat-induced epitope retrieval by 10mM citrate buffer, pH6.0, 100ºC for 10min.

1 / 11
Anti-alpha Actinin antibody [7A4] used in Western Blot (WB). GTX84959
GTX84959 WB Image

WB analysis of HEK293T cells transfected with alpha Actinin plasmid (Right) or empty vector (Left) for 48 hrs using GTX84959 alpha Actinin antibody [7A4].
Loading : 5 ug per lane

2 / 11
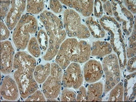
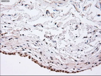
Anti-alpha Actinin antibody [7A4] used in IHC (Paraffin sections) (IHC-P). GTX84959
GTX84959 IHC-P Image

IHC-P analysis of human kidney tissue using GTX84959 alpha Actinin antibody [7A4].
Antigen retrieval : Heat-induced epitope retrieval by 10mM citrate buffer, pH6.0, 100ºC for 10min.

3 / 11
Anti-alpha Actinin antibody [7A4] used in Western Blot (WB). GTX84959
GTX84959 WB Image

WB analysis of wild type and alpha Actinin knock out HeLa cell lysate(10μg per lane) using GTX84959 alpha Actinin antibody [7A4].
Dilution : 1:500

4 / 11
Anti-alpha Actinin antibody [7A4] used in Western Blot (WB). GTX84959
GTX84959 WB Image

WB analysis of various samples using GTX84959 alpha Actinin antibody [7A4].
Loading : 10 ug per lane
Dilution : 1:200

5 / 11
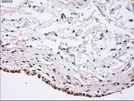
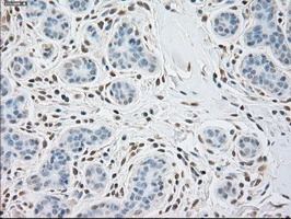
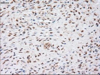
Anti-alpha Actinin antibody [7A4] used in IHC (Paraffin sections) (IHC-P). GTX84959
GTX84959 IHC-P Image

IHC-P analysis of human breast tissue using GTX84959 alpha Actinin antibody [7A4].
Antigen retrieval : Heat-induced epitope retrieval by 10mM citrate buffer, pH6.0, 100ºC for 10min.

6 / 11
Anti-alpha Actinin antibody [7A4] used in Immunocytochemistry/ Immunofluorescence (ICC/IF). GTX84959
GTX84959 ICC/IF Image

ICC/IF analysis of HeLa cells transiently transfected with alpha Actinin plasmid using GTX84959 alpha Actinin antibody [7A4].

7 / 11
Anti-alpha Actinin antibody [7A4] used in Immunocytochemistry/ Immunofluorescence (ICC/IF). GTX84959
GTX84959 ICC/IF Image

ICC/IF analysis of HeLa cells using GTX84959 alpha Actinin antibody [7A4].

8 / 11
Anti-alpha Actinin antibody [7A4] used in Western Blot (WB). GTX84959
GTX84959 WB Image

WB analysis of various cell lines using GTX84959 alpha Actinin antibody [7A4].
Loading : 10 ug per lane
Dilution : 1:200

9 / 11
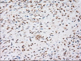
Anti-alpha Actinin antibody [7A4] used in IHC (Paraffin sections) (IHC-P). GTX84959
GTX84959 IHC-P Image

IHC-P analysis of human bladder tissue using GTX84959 alpha Actinin antibody [7A4].
Antigen retrieval : Heat-induced epitope retrieval by 10mM citrate buffer, pH6.0, 100ºC for 10min.

10 / 11
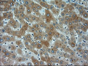
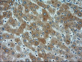
Anti-alpha Actinin antibody [7A4] used in IHC (Paraffin sections) (IHC-P). GTX84959
GTX84959 IHC-P Image

IHC-P analysis of human liver tissue using GTX84959 alpha Actinin antibody [7A4].
Antigen retrieval : Heat-induced epitope retrieval by 10mM citrate buffer, pH6.0, 100ºC for 10min.

11 / 11
Anti-alpha Actinin antibody [7A4] used in IHC (Paraffin sections) (IHC-P). GTX84959
Anti-alpha Actinin antibody [7A4] used in Western Blot (WB). GTX84959
Anti-alpha Actinin antibody [7A4] used in IHC (Paraffin sections) (IHC-P). GTX84959
Anti-alpha Actinin antibody [7A4] used in Western Blot (WB). GTX84959
Anti-alpha Actinin antibody [7A4] used in Western Blot (WB). GTX84959
Anti-alpha Actinin antibody [7A4] used in IHC (Paraffin sections) (IHC-P). GTX84959
Anti-alpha Actinin antibody [7A4] used in Immunocytochemistry/ Immunofluorescence (ICC/IF). GTX84959
Anti-alpha Actinin antibody [7A4] used in Immunocytochemistry/ Immunofluorescence (ICC/IF). GTX84959
Anti-alpha Actinin antibody [7A4] used in Western Blot (WB). GTX84959
Anti-alpha Actinin antibody [7A4] used in IHC (Paraffin sections) (IHC-P). GTX84959
Anti-alpha Actinin antibody [7A4] used in IHC (Paraffin sections) (IHC-P). GTX84959
  • 宿主
    Mouse
  • 克隆
    Monoclonal
  • 克隆编号
    7A4
  • 同种型
    IgG2a
  • 实验应用
    WB ICC/IF IHC-P
  • 种属反应
    Human, Mouse, Rat, Monkey
查看所有 alpha Actinin 的产品