c-Myc抗体

目录号 GTX103436
目录号  GTX103436
Anti-c-Myc antibody used in Western Blot (WB). GTX103436
GTX103436 WB Image

HeLa whole cell and nuclear extracts (30 μg) were separated by 10% SDS-PAGE, and the membrane was blotted with c-Myc antibody (GTX103436) diluted at 1:3000. The HRP-conjugated anti-rabbit IgG antibody (GTX213110-01) was used to detect the primary antibody.

1 / 12
Anti-c-Myc antibody used in Immunoprecipitation (IP). GTX103436
GTX103436 IP Image

c-Myc antibody immunoprecipitates c-Myc protein in IP experiments. IP Sample: 1000 μg 293T whole cell lysate/extract A. 20 μg 293T whole cell lysate/extract B. Control with 2.5 μg of preimmune rabbit IgG C. Immunoprecipitation of c-Myc protein by 2.5 μg of c-Myc antibody (GTX103436) 10% SDS-PAGE The immunoprecipitated c-Myc protein was detected by c-Myc antibody (GTX103436) diluted at 1:1000. EasyBlot anti-rabbit IgG (GTX221666-01) was used as a secondary reagent.

2 / 12
Anti-c-Myc antibody used in ChIP assay (ChIP assay). GTX103436
GTX103436 ChIP assay Image

c-Myc antibody immunoprecipitates c-Myc protein-DNA in ChIP experiments. ChIP Sample: 293T whole cell lysate/extract A. 5 μg preimmune rabbit IgG B. 5 μg of c-Myc antibody (GTX103436) The precipitated DNA was detected by PCR with primer set targeting to mSHMT promoter.

3 / 12
Anti-c-Myc antibody used in Western Blot (WB). GTX103436
GTX103436 WB Image

Wild-type (WT) and MYC knockout (KO) 293T cell extracts (30 μg) were separated by 10% SDS-PAGE, and the membrane was blotted with c-Myc antibody (GTX103436) diluted at 1:500. The HRP-conjugated anti-rabbit IgG antibody (GTX213110-01) was used to detect the primary antibody.

4 / 12
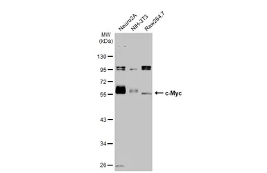
Anti-c-Myc antibody used in Western Blot (WB). GTX103436
GTX103436 WB Image

Various whole cell extracts (30 μg) were separated by 10% SDS-PAGE, and the membrane was blotted with c-Myc antibody (GTX103436) diluted at 1:1000. The HRP-conjugated anti-rabbit IgG antibody (GTX213110-01) was used to detect the primary antibody.

5 / 12
Anti-c-Myc antibody used in Western Blot (WB). GTX103436
GTX103436 WB Image

Sample (whole cell lysate)
A: 293T 20ug
B: 293T 10ug
10% SDS PAGE
GTX103436 diluted at 1:1000
The HRP-conjugated anti-rabbit IgG antibody (GTX213110-01) was used to detect the primary antibody.

6 / 12
Anti-c-Myc antibody used in Western Blot (WB). GTX103436
GTX103436 WB Image

The data was published in the journal Front Mol Neurosci in 2017.PMID: 29234272

7 / 12
Anti-c-Myc antibody used in IHC (Frozen sections) (IHC-Fr). GTX103436
GTX103436 IHC-Fr Image

The data was published in the journal Front Mol Neurosci in 2017.PMID: 29234272

8 / 12
Anti-c-Myc antibody used in Western Blot (WB). GTX103436
GTX103436 WB Image

The data was published in the journal Sci Rep in 2018.PMID: 29875371

9 / 12
Anti-c-Myc antibody used in Immunocytochemistry/ Immunofluorescence (ICC/IF). GTX103436
GTX103436 ICC/IF Image

The data was published in the journal Oncogenesis in 2020.PMID: 32350243

10 / 12
Anti-c-Myc antibody used in ChIP assay (ChIP assay). GTX103436
GTX103436 ChIP assay Image

The data was published in the journal Pharmacol Res Perspect in 2018. PMID: 30455960

11 / 12
Anti-c-Myc antibody used in Western Blot (WB). GTX103436
GTX103436 WB Image

The data was published in the journal PLoS One in 2015. PMID: 26226629

12 / 12
Anti-c-Myc antibody used in Western Blot (WB). GTX103436
Anti-c-Myc antibody used in Immunoprecipitation (IP). GTX103436
Anti-c-Myc antibody used in ChIP assay (ChIP assay). GTX103436
Anti-c-Myc antibody used in Western Blot (WB). GTX103436
Anti-c-Myc antibody used in Western Blot (WB). GTX103436
Anti-c-Myc antibody used in Western Blot (WB). GTX103436
Anti-c-Myc antibody used in Western Blot (WB). GTX103436
Anti-c-Myc antibody used in IHC (Frozen sections) (IHC-Fr). GTX103436
Anti-c-Myc antibody used in Western Blot (WB). GTX103436
Anti-c-Myc antibody used in Immunocytochemistry/ Immunofluorescence (ICC/IF). GTX103436
Anti-c-Myc antibody used in ChIP assay (ChIP assay). GTX103436
Anti-c-Myc antibody used in Western Blot (WB). GTX103436
  • 宿主
    Rabbit
  • 克隆
    Polyclonal
  • 同种型
    IgG
  • 实验应用
    WB ICC/IF IHC-P IHC-Fr IP ChIP assay
  • 种属反应
    Human, Mouse, Xenopus laevis
查看所有 c-Myc 的产品