c-Myc (phospho Ser373)抗体

目录号 GTX50113
目录号  GTX50113
Anti-c-Myc (phospho Ser373) antibody used in Western Blot (WB). GTX50113
GTX50113 WB Image

WB analysis of extracts from A431 cells untreated or treated with EGF using GTX50113 c-Myc (phospho Ser373) antibody.

1 / 2
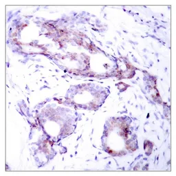
Anti-c-Myc (phospho Ser373) antibody used in IHC (Paraffin sections) (IHC-P). GTX50113
GTX50113 IHC-P Image

IHC-P analysis of human breast carcinoma tissue using GTX50113 c-Myc (phospho Ser373) antibody.

2 / 2
Anti-c-Myc (phospho Ser373) antibody used in Western Blot (WB). GTX50113
Anti-c-Myc (phospho Ser373) antibody used in IHC (Paraffin sections) (IHC-P). GTX50113
  • 宿主
    Rabbit
  • 克隆
    Polyclonal
  • 同种型
    IgG
  • 实验应用
    WB IHC-P
  • 种属反应
    Human
查看所有 c-Myc 的产品