eEF2K (phospho Ser366)抗体

目录号 GTX32365
目录号  GTX32365
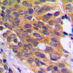
Anti-eEF2K (phospho Ser366) antibody used in IHC (Paraffin sections) (IHC-P). GTX32365
GTX32365 IHC-P Image

IHC-P analysis of formalin fixed human prostate cancer tissue section using GTX32365 eEF-2K (phospho Ser366) antibody.
Antigen retrieval : Heat mediated antigen retrieval with sodium citrate buffer (pH 6.0)

1 / 2
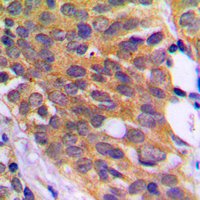
Anti-eEF2K (phospho Ser366) antibody used in Western Blot (WB). GTX32365
GTX32365 WB Image

WB analysis of Calyculin A-treated HeLa (A) whole cell lysates using GTX32365 eEF-2K (phospho Ser366) antibody.

2 / 2
Anti-eEF2K (phospho Ser366) antibody used in IHC (Paraffin sections) (IHC-P). GTX32365
Anti-eEF2K (phospho Ser366) antibody used in Western Blot (WB). GTX32365
  • 宿主
    Rabbit
  • 克隆
    Polyclonal
  • 同种型
    IgG
  • 实验应用
    WB IHC-P
  • 种属反应
    Human
查看所有 eEF2K 的产品