l-Myc抗体, Internal

目录号 GTX48739
目录号  GTX48739
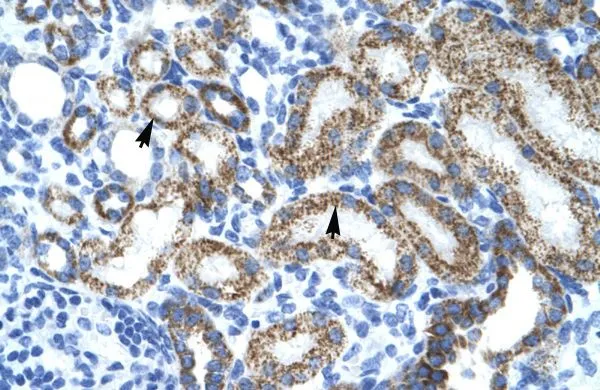
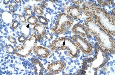
Anti-l-Myc antibody, Internal used in IHC (Paraffin sections) (IHC-P). GTX48739
GTX48739 IHC-P Image

IHC-P analysis of human kidney tissue using GTX48739 l-Myc antibody at 4.0-8.0μg/ml.

1 / 2
Anti-l-Myc antibody, Internal used in Western Blot (WB). GTX48739
GTX48739 WB Image

WB analysis of human kidney tissue using GTX48739 l-Myc antibody at 2.5μg/ml.

2 / 2
Anti-l-Myc antibody, Internal used in IHC (Paraffin sections) (IHC-P). GTX48739
Anti-l-Myc antibody, Internal used in Western Blot (WB). GTX48739
  • 宿主
    Rabbit
  • 克隆
    Polyclonal
  • 同种型
    IgG
  • 实验应用
    WB IHC-P
  • 种属反应
    Human
查看所有 L-myc 的产品