p23抗体 [JJ3]

目录号 GTX22814
目录号  GTX22814
Anti-p23 antibody [JJ3] used in Western Blot (WB). GTX22814
GTX22814 WB Image

WB analysis of 25 ug of Hela (Lane 1), HepG2 (Lane 2), and mouse spleen cell lysates (Lane 3) using GTX22814 p23 antibody [JJ3].
Dilution : 1:1000

1 / 10
Anti-p23 antibody [JJ3] used in Flow cytometry (FCM). GTX22814
GTX22814 FCM Image

FACS analysis of Hela cells using GTX22814 p23 antibody [JJ3] compared to an isotype control (blue).
Dilution : 0.25 ug/test for 60 min at room temperature
Fixation : 2% paraformaldehyde

2 / 10
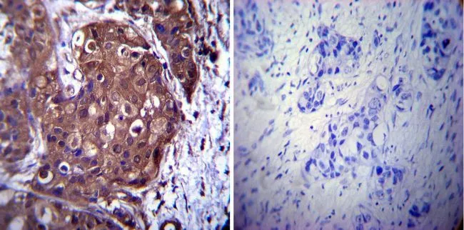
Anti-p23 antibody [JJ3] used in IHC (Paraffin sections) (IHC-P). GTX22814
GTX22814 IHC-P Image

IHC-P analysis of human breast carcinoma tissue using GTX22814 p23 antibody [JJ3].
Left : Primary antibody
Right : Negative control without primary antibody
Antigen retrieval : heat induced antigen retrieval was performed using 10mM sodium citrate (pH6.0) buffer, microwaved for 8-15 minutes
Dilution : 1:1000

3 / 10
Anti-p23 antibody [JJ3] used in Flow cytometry (FCM). GTX22814
GTX22814 FCM Image

FACS analysis of 3T3 cells using GTX22814 p23 antibody [JJ3] compared to an isotype control (blue).
Dilution : 0.5 ug/test for 60 min at room temperature
Fixation : 2% paraformaldehyde

4 / 10
Anti-p23 antibody [JJ3] used in Immunocytochemistry/ Immunofluorescence (ICC/IF). GTX22814
GTX22814 ICC/IF Image

ICC/IF analysis of C6 cells using GTX22814 p23 antibody [JJ3]. Cells were probed without (right) or with(left) an antibody.
Green : Primary antibody
Blue : Nuclei
Red : Actin
Fixation : formaldehyde
Dilution : 1:500 overnight at 4ºC

5 / 10
Anti-p23 antibody [JJ3] used in Immunocytochemistry/ Immunofluorescence (ICC/IF). GTX22814
GTX22814 ICC/IF Image

ICC/IF analysis of MCF-7 cells using GTX22814 p23 antibody [JJ3]. Cells were probed without (right) or with(left) an antibody.
Green : Primary antibody
Blue : Nuclei
Red : Actin
Fixation : formaldehyde
Dilution : 1:500 overnight at 4ºC

6 / 10
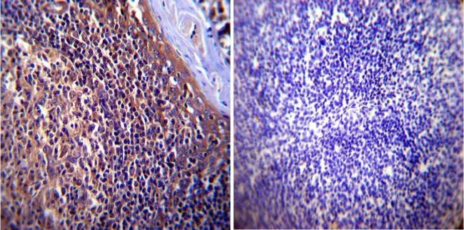
Anti-p23 antibody [JJ3] used in IHC (Paraffin sections) (IHC-P). GTX22814
GTX22814 IHC-P Image

IHC-P analysis of human testis tissue using GTX22814 p23 antibody [JJ3].
Left : Primary antibody
Right : Negative control without primary antibody
Antigen retrieval : heat induced antigen retrieval was performed using 10mM sodium citrate (pH6.0) buffer, microwaved for 8-15 minutes
Dilution : 1:1000

7 / 10
Anti-p23 antibody [JJ3] used in Immunocytochemistry/ Immunofluorescence (ICC/IF). GTX22814
GTX22814 ICC/IF Image

ICC/IF analysis of HeLa cells using GTX22814 p23 antibody [JJ3]. Cells were probed without (right) or with(left) an antibody.
Green : Primary antibody
Blue : Nuclei
Red : Actin
Fixation : formaldehyde
Dilution : 1:500 overnight at 4ºC

8 / 10
Anti-p23 antibody [JJ3] used in IHC (Paraffin sections) (IHC-P). GTX22814
GTX22814 IHC-P Image

IHC-P analysis of human tonsil tissue using GTX22814 p23 antibody [JJ3].
Left : Primary antibody
Right : Negative control without primary antibody
Antigen retrieval : heat induced antigen retrieval was performed using 10mM sodium citrate (pH6.0) buffer, microwaved for 8-15 minutes
Dilution : 1:1000

9 / 10
Anti-p23 antibody [JJ3] used in Flow cytometry (FCM). GTX22814
GTX22814 FCM Image

FACS analysis of Jurkat cells using GTX22814 p23 antibody [JJ3] compared to an isotype control (blue).
Dilution : 0.25 ug/test for 60 min at room temperature
Fixation : 2% paraformaldehyde

10 / 10
Anti-p23 antibody [JJ3] used in Western Blot (WB). GTX22814
Anti-p23 antibody [JJ3] used in Flow cytometry (FCM). GTX22814
Anti-p23 antibody [JJ3] used in IHC (Paraffin sections) (IHC-P). GTX22814
Anti-p23 antibody [JJ3] used in Flow cytometry (FCM). GTX22814
Anti-p23 antibody [JJ3] used in Immunocytochemistry/ Immunofluorescence (ICC/IF). GTX22814
Anti-p23 antibody [JJ3] used in Immunocytochemistry/ Immunofluorescence (ICC/IF). GTX22814
Anti-p23 antibody [JJ3] used in IHC (Paraffin sections) (IHC-P). GTX22814
Anti-p23 antibody [JJ3] used in Immunocytochemistry/ Immunofluorescence (ICC/IF). GTX22814
Anti-p23 antibody [JJ3] used in IHC (Paraffin sections) (IHC-P). GTX22814
Anti-p23 antibody [JJ3] used in Flow cytometry (FCM). GTX22814
  • 宿主
    Mouse
  • 克隆
    Monoclonal
  • 克隆编号
    JJ3
  • 同种型
    IgG1
  • 实验应用
    WB ICC/IF IHC-P FCM IP IHC
  • 种属反应
    Human, Mouse, Rat, Rabbit, Chicken, Guinea pig
查看所有 p23 的产品