p73 (phospho Tyr99)抗体

目录号 GTX32277
目录号  GTX32277
Anti-p73 (phospho Tyr99) antibody used in Western Blot (WB). GTX32277
GTX32277 WB Image

WB analysis of Jurkat (A), UV-treated HeLa (B) whole cell lysates using GTX32277 p73 (phospho Tyr99) antibody.

1 / 2
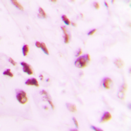
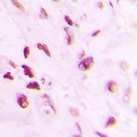
Anti-p73 (phospho Tyr99) antibody used in IHC (Paraffin sections) (IHC-P). GTX32277
GTX32277 IHC-P Image

IHC-P analysis of formalin fixed human lung cancer tissue section using GTX32277 p73 (phospho Tyr99) antibody.
Antigen retrieval : Heat mediated antigen retrieval with sodium citrate buffer (pH 6.0)

2 / 2
Anti-p73 (phospho Tyr99) antibody used in Western Blot (WB). GTX32277
Anti-p73 (phospho Tyr99) antibody used in IHC (Paraffin sections) (IHC-P). GTX32277
  • 宿主
    Rabbit
  • 克隆
    Polyclonal
  • 同种型
    IgG
  • 实验应用
    WB IHC-P
  • 种属反应
    Human
查看所有 p73 的产品