GFAP:星形胶质细胞活化标志物和新兴血清生物标志物
![]() |
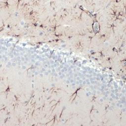
胶质纤维酸性蛋白 (GFAP) 是星形胶质细胞中的一种标志性中间丝 (IF),有助于中枢神经系统中的突触形成和轴突代谢稳态,GFAP诱导对于神经修复过程中星形胶质细胞过程(星形胶质细胞增多症)的形成至关重要,慢性反应性星形胶质细胞增多症与几种神经炎症和神经退行性疾病有关,包括阿尔茨海默病和帕金森病。2018 年,FDA 授权首次通过测量 GFAP和神经轴突标志物泛素羧基末端水解酶 L1 (UCHL1, PGP9.5) 来评估轻度创伤性脑损伤的血液测试 (1);新出现的证据还表明,血浆 GFAP可能是多发性硬化症疾病严重程度的有用标志物 (2)。
GeneTex 推出了一系列针对 GFAP 和其他关键神经生物学蛋白(见下文)的兔重组单克隆抗体,扩展了其已广泛用于神经科学研究且经过充分验证的常规单克隆和多克隆抗体目录;请查看下面突出显示的产品,并访问我们的网站 www.genetex.com 了解更多详细信息。
热门研究抗体
|
|
|
|
参考文献:

![GFAP antibody [HL1307] (GTX636725) GFAP antibody [HL1307] (GTX636725)](/upload/media/MarketingMaterial/Newsletter/2022/GFAP/landingPage-255x255-01.jpg)
![Iba1 antibody [HL22] (GTX635363) Iba1 antibody [HL22] (GTX635363)](/upload/media/MarketingMaterial/Newsletter/2022/GFAP/landingPage-255x255-02.jpg)
![Myelin basic protein antibody [HL1033] (GTX635873) Myelin basic protein antibody [HL1033] (GTX635873)](/upload/media/MarketingMaterial/Newsletter/2022/GFAP/landingPage-255x255-03.jpg)
![AChE antibody [HL1102] (GTX636298) AChE antibody [HL1102] (GTX636298)](/upload/media/MarketingMaterial/Newsletter/2022/GFAP/landingPage-255x255-04.jpg)